
In a study involving 217 percutaneous cryoablation procedures for treating recurrent or metastatic soft tissue sarcoma in 141 patients, researchers noted an 86 percent rate of local progression-free survival and a 2 percent complication rate.

In a study involving 217 percutaneous cryoablation procedures for treating recurrent or metastatic soft tissue sarcoma in 141 patients, researchers noted an 86 percent rate of local progression-free survival and a 2 percent complication rate.

In a 10-year analysis of computed tomography colonography (CTC) use in the United States, researchers found that CTC use increased from 1.4 percent of adults in 2019 to 3.5 percent in 2021.

Catch up on the most-well viewed radiology content in July 2024.

An emerging diagnostic model incorporating radiomic features from intratumoral and peritumoral regions exhibited a 29 percent higher AUC and 77 percent higher sensitivity rate than a clinical model for predicting the grading of clear cell renal cell carcinoma, according to recent research.

Catch up on the top radiology content of the past week.

Emerging research suggests CT radiation dosing of 50 mSv or greater is associated with higher mortality at two years but nearly half of those patients were alive 10 years later.

While PET/MRI and PET/CT had comparable sensitivity for patient-level regional nodal metastases and lesion-level recurrence, the authors of a systematic review noted that PET/MRI had significantly higher accuracy in breast cancer and colorectal cancer staging.

Researchers found that mpMRI was 18 percent more accurate than dual-energy CT (DECT) for T1 staging and 19 percent more accurate for N3 staging of gastric cancer.

Photon-counting CT-optimized features with the OmniTom Elite system include 30 cm field of view scanning, continuous spiral scanning, and an ultra-high-resolution capability of 0.141 mm resolution.

Catch up on the top radiology content of the past week.

Incorporating age, lesion shape and effective atomic number in the venous phase of dual-energy CT (DECT), an emerging model demonstrated a 79.1 percent AUC for differentiating between malignant and benign breast lesions.

In newly issued proposals addressing changes to coverage for Medicare services in 2025, the Centers for Medicare and Medicaid Services (CMS) announced its intent to provide coverage of computed tomography colonography (CTC) for Medicare beneficiaries in 2025.

Photon-counting CT enables enhanced fissure visualization and a lower degree of cardiac motion artifacts for lung perfusion imaging at a significantly reduced scan time in contrast to dual-energy CT, according to new research findings.

Catch up on the top radiology content of the past week.

Catch up on the most-well viewed radiology content in June 2024.

Proprietary technologies with the FCT iStream computed tomography system reportedly facilitate enhanced workflow efficiency and significantly reduced radiation dosing.

Facilitating additional consultation on chest and abdominal CT scans, the Second Opinions teleradiology platform now features FDA-cleared AI tools for cardiac, bone and liver assessments.

Catch up on the top radiology content of the past week.

An AI model that includes extracted radiomic features from CT scans more than doubled the sensitivity rate for preoperative prediction of lung cancer recurrence in comparison to traditional TNM staging, according to study findings to be presented at the 2024 American Society of Clinical Oncology (ASCO) Annual Meeting in Chicago.

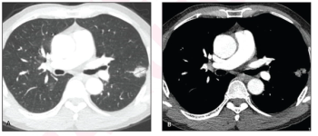
In comparison to pure solid nodules in patients with non-small cell lung cancer (NSCLC), nodules with a minor ground glass opacity component were associated with over a 38 percent higher rate of recurrence-free survival.

In addition to detecting missed lung nodules on X-rays, the AI-powered Qure.ai lung cancer continuum platform reportedly automates lung nodule measurement on CT scans and facilitates multimodality reporting.

The second-generation version of the VUZE System reportedly offers expanded functionality and incorporation of varied sources of 3D imaging data, including cone-beam CT scans obtained in the OR.

One deep learning model had a 72.4 percent accuracy rate for differentiating between benign and malignant solid pulmonary nodules on non-contrast CT while another deep learning model demonstrated an 87.1 percent AUC for differentiating benign and inflammatory findings.

Image quality, sharpness, and contrast with AI-based denoising were significantly enhanced for neck CT in comparison to conventional CT image reconstruction at 100 percent and 50 percent mAs, according to newly published research.

Catch up on the top radiology content of the past week.