
Oncology CT
Latest News
Latest Videos

CME Content
More News

Catch up on the top radiology content of the past week.

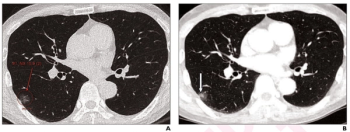
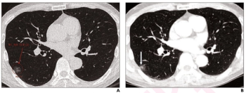
Researchers also noted a greater than 30 percent increase in treatment management changes resulting from the use of CT-based adjunctive AI to detect lung metastases in colorectal cancer patients.

Emerging research suggests the use of computed tomography colonography (CTC) in colorectal cancer screening may provide significantly higher preventive benefit at lower costs in comparison to multitarget stool DNA testing.

Catch up on the top radiology content of the past week.

Catch up on the most-well viewed radiology content in May 2025.

In a review of 155 studies, researchers examined the capabilities of photon-counting computed tomography (PCCT) for enhanced accuracy, tissue characterization, artifact reduction and reduced radiation dosing across thoracic, abdominal, and cardiothoracic imaging applications.

Catch up on the top radiology content of the past week.

In never-smokers, deep learning assessment of single baseline low-dose computed tomography (CT) scans demonstrated a 79 percent AUC for predicting lung cancer up to six years later, according to new research presented today at the American Thoracic Society (ATS) 2025 International Conference.

The CleaRecon DL software reportedly removes streak artifacts that can occur with the use of cone-beam computed tomography (CBCT) during interventional radiology procedures.

Catch up on the top radiology content of the past week.

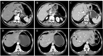
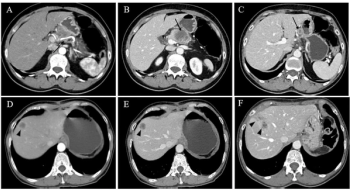
In comparison to American Joint Committee on Cancer (AJCC) TNM staging, an emerging CT-based scoring system for assessing early recurrence of pancreatic ductal adenocarcinoma demonstrated over a 22 percent higher AUC in testing and external validation cohorts in a new study.

The combination of the Aurora SPECT/CT system with AI-enabled Clarify DL image reconstruction reportedly offers the potential of enhanced image quality and streamlined workflows in nuclear medicine.

In a second part of a new podcast episode on recently published research on projected radiation-induced cancers from computed tomography (CT) scans, Mahadevappa Mahesh, MS, Ph.D., and Joseph Cavallo, M.D., offer current perspectives on cardiac CT dosing, AI advances and the importance of teamwork in ensuring appropriate dosing for CT.

In a new podcast, Mahadevappa Mahesh, MS, Ph.D., and Joseph Cavallo, M.D., share their perspectives on recently published research looking at projections for future radiation-induced cancers from computed tomography (CT) scans.

Catch up on the most-well viewed radiology content in April 2025.

Catch up on the most well-viewed video interviews from Diagnostic Imaging in April 2025.

Catch up on the top AI-related news and research in radiology over the past month.

For elderly patients with lung cancer, a preoperative CT-based coronary artery calcium score > 40 was associated with a 53 percent higher risk of all-cause mortality after surgery, according to new study findings.

In a recent interview, Syam Reddy, M.D., discussed the rising incidence of colon cancer and a clinical pathway resource with Radiology Partners that facilitates the integration of computed tomography colonography (CTC) into radiology practice.

Catch up on the top radiology content of the past week.

Recently published research projected that 103,000 future cases of radiation-induced cancer would result from 93 million computed tomography (CT) exams performed in the United States in 2023.

In comparison to radiologist assessment, the use of AI to pre-screen patients with low-dose CT lung cancer screening provided a 12 percent reduction in mean interpretation time with a slight increase in specificity and a slight decrease in the recall rate, according to new research.

In a recent interview, Rebecca Smith-Bindman, M.D., offered key insights on new research examining the link between computed tomography scans and projected future cases of radiation-induced cancer.

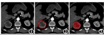
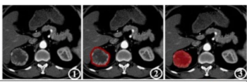
In comparison to a model based on clinicopathological risk factors, a CT radiomics-based machine learning model offered greater than a 10 percent higher AUC for predicting five-year recurrence-free survival in patients with non-metastatic clear cell renal cell carcinoma (ccRCC).

Catch up on the top radiology content of the past week.










































