
Catch up on the top radiology content of the past week.


Catch up on the top radiology content of the past week.

Reportedly trained on thousands of computed tomography scans, the e-Lung software utilizes machine learning to detect and assess the progression of features associated with interstitial lung diseases.

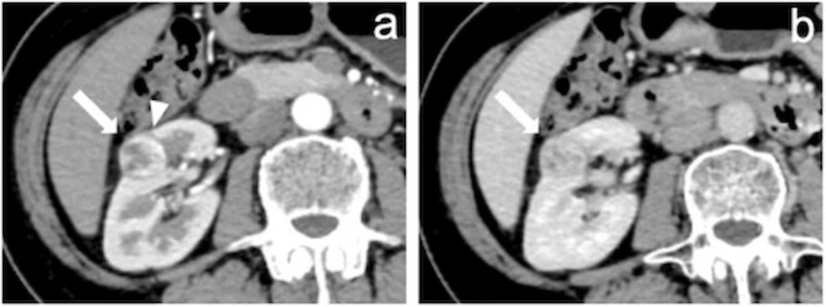
Combining clinical and CT features, adjunctive use of a classification and regression tree (CART) diagnostic model demonstrated AUCs for detecting clear cell renal cell carcinoma (ccRCC) that were 15 to 22 percent higher than unassisted radiologist assessments.

Catch up on the top radiology content of the past week.

A computed tomography (CT)-based radiomics model that includes 28 radiomic features showed significantly higher accuracy, sensitivity, and specificity than conventional CT in differentiating benign and malignant thyroid nodules, according to newly published research.

Catch up on the top radiology content of the past week.

Catch up on the top AI-related news and research in radiology over the past month.

In a study of women with oligometastatic breast cancer, the use of 18F-FDG PET/CT detected additional metastases in one-third of cases that were not evident on conventional CT.

Catch up on the top radiology content of the past week.

The inclusion of simulated adjudication for resolving discordant nodule classifications in a deep learning model for assessing lung adenocarcinoma on chest CT resulted in a 12 percent increase in sensitivity rate.

The multimodality system nCommand Lite reportedly facilitates real-time remote imaging guidance on scanning parameters and procedure assessments to licensed technologists for a variety of imaging modalities including CT and MRI.

Catch up on the top AI-related news and research in radiology over the past month.

Catch up on the top radiology content of the past week.

Offering ease of mobility and self-driving capabilities, the Ciartic Move C-arm device reportedly reduces the stress and potential for error associated with manual repositioning during intraoperative imaging with computed tomography and fluoroscopy.

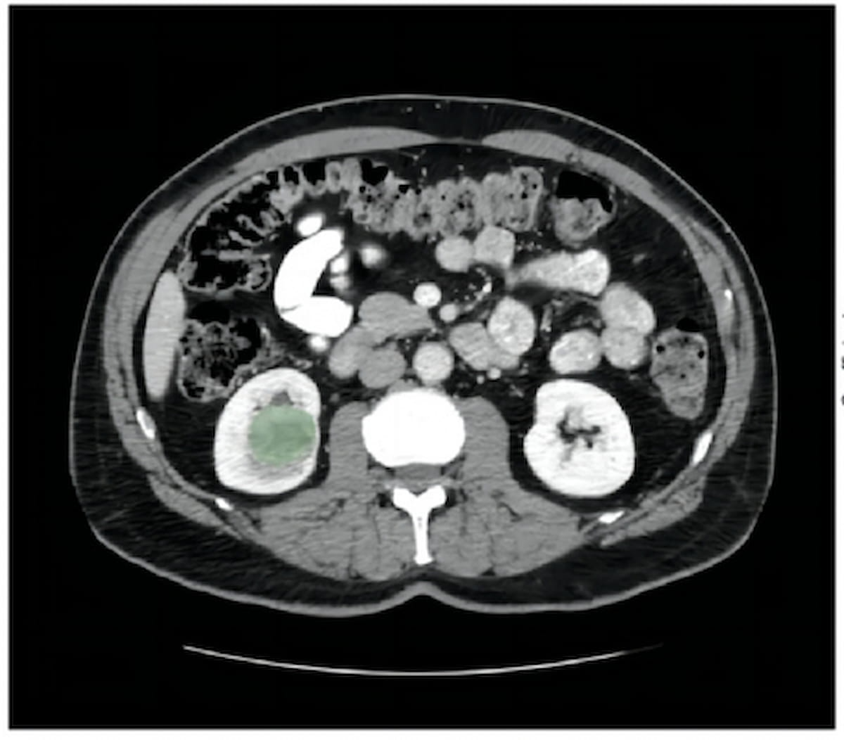
Emerging research suggests that a computed tomography (CT)-based radiomics model can predict FOXM1 expression and is independently prognostic for clear cell renal cell carcinoma.

Review the case and test your knowledge to make the correct diagnosis.

In comparison to standard-dose lung CT, the combination of deep learning image reconstruction with ultra-low-dose CT offered similar detection and characterization of pulmonary nodules at a nearly 93 percent reduction of radiation dosing, according to new research.

Catch up on the most-well viewed radiology content in February 2024.

Catch up on the top AI-related news and research in radiology over the past month.

The use of computed tomography (CT) for cases of minor head trauma was associated with a 29 percent higher incidence of hematologic malignant neoplasms in comparison to those with no CT, according to a new study involving over 2,400,000 pediatric patients.

Catch up on the top radiology content of the past week.

For the detection of nodal metastases in patients with early-stage cervical cancer, 18F FDG PET-CT offered a sensitivity rate that was double that of CT and 32 percent higher than MRI, according to newly published research.

In a computed tomography (CT) study assessing over 450 patients who had lung adenocarcinoma resection, researchers noted zero recurrence at five years and 97.7 percent recurrence-free survival at seven years for patients with resected pure ground glass nodules.

Catch up on the top radiology content of the past week.

Researchers found the use of deep learning reconstruction for computed tomography colonography (CTC) led to 25 percent higher subjective image quality scoring than iterative image reconstruction at a substantially reduced rate of radiation dosing.