
Updates to Contour ProtegeAI 4.0 reportedly include enhanced algorithms for radiation oncology segmentation and molecular radiotherapy.

Updates to Contour ProtegeAI 4.0 reportedly include enhanced algorithms for radiation oncology segmentation and molecular radiotherapy.

Catch up on the top radiology content of the past week.

In a large retrospective study of 26,455 participants from the National Lung Screening Trial, low dose computed tomography (LDCT) exams revealed significant incidental findings (SIFs), ranging from emphysema to suspicious lesions, in 8,954 participants.

Catch up on the top radiology content of the past week.

Revising a March 2022 recommendation, the Food and Drug Administration (FDA) said thyroid monitoring for young children three years of age and under receiving iodinated contrast media (ICM) in relation to contrast-enhanced computed tomography (CECT) can now be reserved for those with risk factors including prematurity, low birth weight or conditions affecting thyroid function.

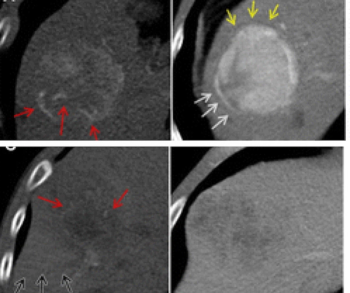
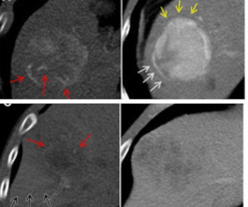
A hybrid computed tomography radiomics model demonstrated up to an 86 percent area under the curve in predicting microvascular invasion in patients with hepatocellular carcinoma in a recently published study.

While one computed tomography (CT) scan appears to have no elevated cancer risk in pediatric patients, four or more pediatric exposures to CT scans are associated with increased risks for intracranial tumor, leukemia, and non-Hodgkin lymphoma, according to newly published research out of Taiwan.

Lamenting a lack of control over imaging requests from referring clinicians, this author suggests that a more collaborative approach between referrers and radiologists may facilitate more efficient use of imaging.

An emerging artificial intelligence (AI) software reportedly detected liver metastases in 53.7 percent of cases involving missed findings by radiologists.

Catch up on the top radiology content of the past week.

New prospective research demonstrated that the combination of ultra-low-dose (ULD) computed tomography (CT) and an artificial intelligence (AI)-based denoising method offered a greater than 95 percent sensitivity rate for differentiating negative and actionable Lung-RADS category findings with significantly reduced radiation dosing.

A recent prospective study found that progression-free survival (PFS) and disease-specific survival (DSS) were significantly associated with breast cancer tumor treatment response on 2-(18F)FDG-PET/CT imaging in comparison to contrast-enhanced computed tomography (CT), which showed no evidence of a significant association with tumor response.

Review the case study and test your knowledge to make the correct diagnosis.

Catch up on the top radiology content of the past week.

A retrospective review of insurance claim data from over one million people eligible for lung cancer screening with low-dose computed tomography (LDCT) found that less than five percent were screened.

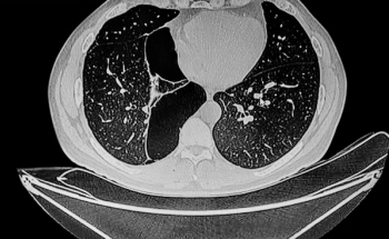
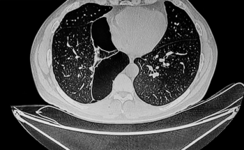
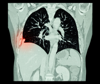
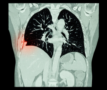
In a study of over 1,000 patients who had surgery for invasive lung adenocarcinoma, researchers found that solid adenocarcinoma on pre-op CT imaging was associated with more than double the risks of recurrence and brain metastasis in patients with clinical stage I disease in comparison to ground-glass opacity (GGO) adenocarcinoma.

Catch up on the top radiology content of the past week.

Noting that computed tomography (CT) scans are obtained for more than 30 million emergency department (ED) patients annually and that 31.3 percent of ED CT scans reveal incidental findings, representatives from the American College of Radiology (ACR) and the American College of Emergency Physicians (ACEP) recently collaborated on best practice recommendations for addressing incidental imaging findings in EDs.

Catch up on the top radiology content of the past week.

The new launches include the 80/160-slice computed tomography (CT) scanner Aquilion Serve, which allows simultaneous previews of axial, lateral and AP views, and Celex, a multipurpose X-ray system that offers automated and customizable features to help maximize workflow efficiencies.

New research from the American Cancer Society comparing pre-pandemic cancer screening prevalence to the second year of the COVID-19 pandemic in the United States showed a 1.1 million decrease in breast cancer screenings, a 4.4 million decrease in cervical cancer screening and a 600,000 decrease in prostate cancer screenings.

Catch up on the top radiology content of the past week.

Noting that pelvic coverage can increase radiation dosing for liver computed tomography (CT) by 29 to 39 percent, researchers found low three-year cumulative rates of incidental pelvic tumors and isolated pelvic metastasis in follow-up liver CT imaging of over 1,100 people treated for hepatocellular carcinoma.

Review the case study and test your knowledge to make the correct diagnosis.

In a recent video interview, Sonia Gupta, MD discussed a number of ongoing developments with artificial intelligence (AI) in radiology, ranging from market consolidation of AI vendors to maximizing automation and efficiency with patient triage, reporting and follow-up of incidental findings.