
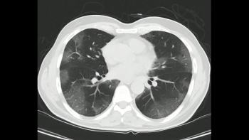
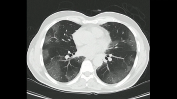
While recent recommendations from the United States Preventive Services Task Force (USPSTF) to lower lung cancer screening thresholds significantly expanded eligibility for screening tests such as low-dose computed tomography (CT), differences in education, health-care insurance and proximity to health-care facilities continue to be key drivers of racial and socioeconomic disparities limiting access to appropriate preventive care.














































