
Catch up on the top radiology content of the past week.

Catch up on the top radiology content of the past week.

Catch up on the top five most viewed content at Diagnostic Imaging in August 2023.

Catch up on the top AI-related news and research from the past month.

Catch up on the top radiology content of the past week.

The Echelon Synergy MRI system reportedly uses deep learning technology to accelerate image acquisition and enhance image quality.

Catch up on the top radiology content of the past week.

In a new study comparing standard breast MRI, abbreviated breast MRI and contrast-enhanced mammography in supplemental breast cancer screening, researchers found that MRI offered a greater than 14 percent higher cancer detection rate and a nearly 39 percent higher sensitivity rate than CEM.

Catch up on the top radiology content of the past week.

Emerging research suggests that a high volume of enhancing parenchyma on dynamic contrast-enhanced MRI more than doubles the breast cancer risk for women with extremely dense breasts.

The most common brain MRI findings associated with COVID-19 included acute/subacute infarction in 22 percent of patients and cerebral microbleeds in 17 percent of patients.

The indications for Gadobutrol injection, a generic substitute for Gadavist, include neurovascular and cardiovascular assessments as well as breast malignancy detection with magnetic resonance imaging (MRI).

Catch up on the top AI-related news and research from the past month.

What do you do with a CD of imaging that has no information on the doc requesting the radiologist read?

Through automated processing of diffusion-weighted magnetic resonance imaging (MRI) scans, the Advanced Neuro Diagnostic Imaging (ANDI) software performs detailed analysis of white matter microstructure.

Catch up on the top radiology news of the past week.

Newly published research suggests the use of gadopiclenol at 0.05 mmol/kg is non-inferior to gadobutrol 0.1 mmol/kg for all qualitative visualization parameters on full-body magnetic resonance imaging (MRI).

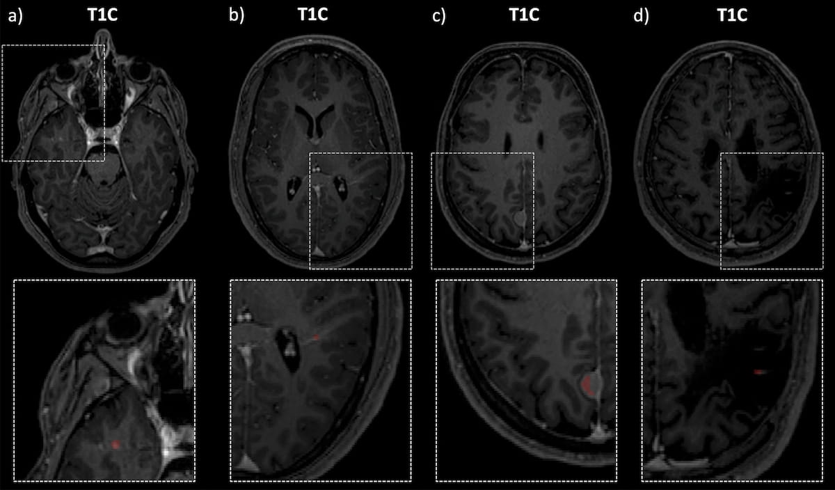
An artificial intelligence model, trained on MRI and FLAIR imaging from over 900 patients with multiple sclerosis, demonstrated a 96 percent accuracy rate and 99 percent specificity rate for contrast-enhancing lesions in this patient population.

Superfluous pan scans have become standard for a vast majority of minor injury presentations in emergency room settings.

Catch up on the top radiology content of the past week.

Review the case study and test your knowledge to make the correct diagnosis.

Reportedly receiving the first Current Procedural Terminology (CPT) III code from the American Medical Association (AMA) for artificial intelligence (AI)-enabled brain magnetic resonance imaging (MRI) software, Icometrix says its adjunctive quantification software can be utilized for diagnosis and assessment of conditions ranging from Alzheimer’s disease and epilepsy to stroke and dementia.

Catch up on the top AI-related news and research from the past month.

The injectable authorized generic reportedly facilitates gallbladder imaging as well as X-ray imaging of the intestinal tract.

Catch up on the top radiology content of the past week.

FIRMM-pix, a brain magnetic resonance imaging (MRI) software module recently launched at the International Society for Magnetic Resonance in Medicine (ISMRM) conference, reportedly employs visual biofeedback and gamification that coaches patients to stay still during brain MRI exams.