
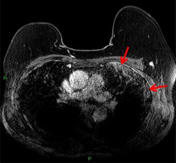
Suspicious lesions that develop during neoadjuvant therapy are uncommon, and they are highly unlikely to be malignant.


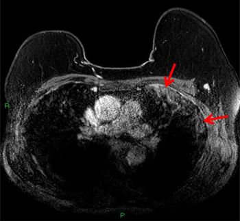
Suspicious lesions that develop during neoadjuvant therapy are uncommon, and they are highly unlikely to be malignant.

MRI reveals its wide utility this year, demonstrating improved performance in disease detection, as well as outperforming other modalities in providing clearer, more detailed images.

While the pandemic raged, work continued to advance the development of AI tools with breast imaging services.

Younger and African American patients face significantly increased odds of having their symptoms associated with radiation therapy under-treated by providers.

Hologic’s Jennifer Meade, division president of breast and skeletal care, discusses the focus for breast imaging in the near future and some latest technologies.

Capturing the scan can reduce number of repeat surgeries and pinpoint additional cancers.

Women who experience food or housing insecurities are more likely to take longer between imaging and follow-up, putting them at greater risk for undiagnosed breast cancer.

Updated tool is designed to reduce reporting complexity for both screening and diagnostic breast MRI, saving time and improving patient safety.

Breast Cancer Screening in Indian & Pakistani Women; Fluciclovine PET for Prostate Cancer Imaging; Cardiac Ultrasound & COVID-19; and Improving Mammography Patient Experience

Here's what to expect this week on Diagnostic Imaging.

MRI catches more malignant lesions in women with dense breasts who undergo digital breast tomosynthesis than those who have digital mammography alone.

Serena Bright™ shortens time to biopsy results, a critical capability during the COVID-19 pandemic.

Here's what is coming soon to Diagnostic Imaging.

Delays in the diagnosis and treatment of breast cancer have led to the creation of multidisciplinary recommendations for breast cancer care during the COVID-19 pandemic.

What to expect this week on Diagnostic Imaging.

Identifying a patient’s preferred method of communication can open the door for optimal, respectful patient care.

Breast imagers could be among the most highly burned out sub-specialists, but there are ways to reduce the work fatigue.

PET/MRI vs. PET/CT; Abdominal CT and COVID-19; Chest MRI vs Chest CT; Expert Interpretations of Endometriosis; and Delayed Breast Cancer Treatments for African American Women

Even radiologists with two years’ experience have statistically inferior diagnostic performance.

Radiation, alongside age and socioeconomic status, is associated with longer diagnosis-to-treatment timelines.

Rethinking CMR during COVID-19; Abdominal Imaging and COVID-19; Mental Health Impacts of COVID-19; African American and Lung Cancer Screening; Plus, African American Women and Disadvantages in Breast Cancer Screening

Women treated with both surgery and radiotherapy for ductal carcinoma in situ fared best.

Combining DBT and synthetic mammography can mean less follow-up imaging for women with non-dense breasts – but not necessarily for women with dense tissue.

A follow-up breast screening MRI ended with a woman from England being treated for viral infection.

Artificial intelligence equivalency in breast cancer screening; diffusion-weighted imaging and breast MRI; CT patterns for EVALI; Emergency Department and CT Scan Declines with COVID-19; and Thoracic Imaging Findings of MIS-C.