
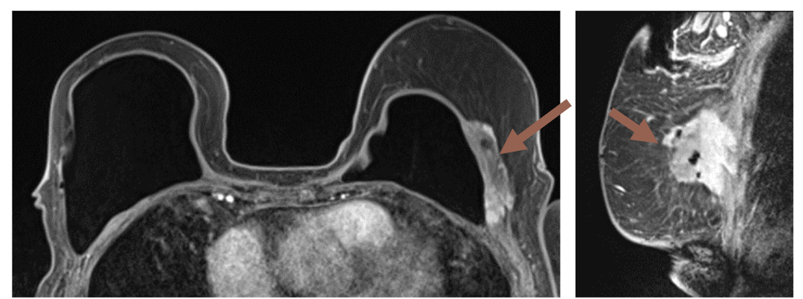
Given the increasing prevalence of breast reconstruction, researchers discussed key signs of common complications on magnetic resonance imaging (MRI), ultrasound and other imaging during a recent presentation at the American Roentgen Ray Society (ARRS) 2023 Annual Meeting in Honolulu, Hawaii.












































