
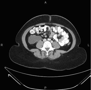
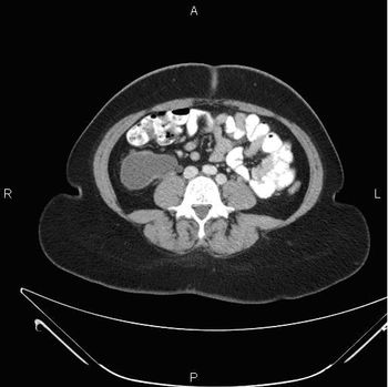
MSCT findings and histological feature correlations of pancreatic metastases from clear renal cell carcinoma.

MSCT findings and histological feature correlations of pancreatic metastases from clear renal cell carcinoma.

Published: October 22nd 2010 | Updated: