
Women's Health Ultrasound
Latest News

Can Ultrasound-Derived Fat Fraction Provide a Viable Alternative for Quantifying Hepatic Steatosis?

FDA Grants De Novo Approval for Home Use of Prenatal Ultrasound Platform
Latest Videos

CME Content
More News

Designed for use in saline contrast echocardiography, the ASI-02 modality is currently being evaluated in a multicenter, randomized trial for patients undergoing transthoracic echocardiography (TTE).

New enhancements for the Venue POCUS devices include automated labeling of anatomical landmarks with Nerveblox to facilitate 12 common peripheral nerve blocks and contrast-enhanced ultrasound geared to abdominal injury assessments.

The AI-powered Viz ACS platform may facilitate improved communication between clinicians and more rapid treatment for cases involving acute coronary syndrome.

Previously cleared for liver tumor ablation therapy, the BioTraceIO360 ultrasound software reportedly bolsters pre-procedure planning with ablation zones.

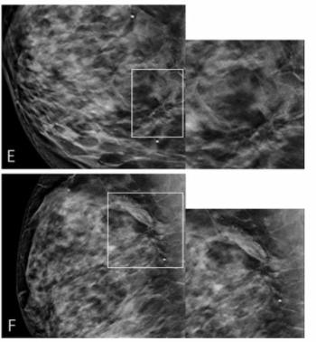
For masses interpreted as BI-RADS category 4 and 5 presentations on breast ultrasound, the authors of a new study found that the presence of echogenic rind had an 81 to 85 percent specificity for malignancy.

Findings from a multivariable analysis revealed that increased pulse wave velocity-end of systole (PWV-ES), assessed with ultrafast ultrasound, was associated with more than double the cardiovascular risk in young individuals with no major cardiovascular risk factors.

The Voluson Performance 18 and 16 ultrasound devices reportedly combine enhanced imaging capabilities with AI-enabled efficiencies.

The AI-powered cardiovascular ultrasound device reportedly offers enhanced spatial and contrast resolution as well as bolstered 4D imaging that enables improved evaluation of cardiac function for a wide range of patients.

Catch up on the most-well viewed radiology content in August 2025.

Combining advances in imaging quality with access to 26 FDA-cleared applications for automated and accelerated tasks, the Transcend Plus software will be featured at the upcoming European Society of Cardiology (ESC) and American Society of Echocardiography (ASE) conferences.

Catch up on the top AI-related news and research in radiology over the past month.

The MyLab A50 and MyLab A70 ultrasound platforms reportedly enable a variety of detailed and multiparametric evaluations, including assessments for liver elastography and strain analysis echocardiography.

Catch up on the top radiology content of the past week.

Reportedly the only point-of-care ultrasound system that can estimate liver stiffness and attenuation that correlate to MRI-PDFF, Velacur One also may facilitate higher reimbursement than non-imaging elastography.

Could the NeedleVue LC1 Ultrasound System reinvent real-time ultrasound-assisted needle guidance for interventional procedures?

Researchers noted a 78 percent malignancy rate when associated architectural distortion was present on digital breast tomosynthesis (DBT) with highly suspicious masses or microcalcifications.

In addition to facilitating centralized scanning for a variety of imaging, the TechLive system may help ease the strain of technologist shortages and broaden access to advanced imaging exams.

Mammography detected 82 percent of pregnancy-associated breast cancer in a cohort of women with a high prevalence of extremely dense breasts, according to a new study.

Catch up on the most-well viewed radiology content in July 2025.

Catch up on the top AI-related news and research in radiology over the past month.

Offering a minimum scan depth of 4 mm, the UHF46-20 Transducer reportedly provides high-quality resolution for visualizing superficial nerves and vessels.

The dual FDA clearances for the Accuro 3S point-of-care ultrasound device and the SpineNav-AI machine learning-based software may enhance precision and safety with ultrasound-guided neuraxial procedures.

Stay updated with the latest in radiology, including PET, MRI, and AI research, plus essential insights on mammography and cardiac imaging.

EchoGo Amyloidosis, an echocardiography-based AI screening software, demonstrated a 93 percent AUROC for cardiac amyloidosis detection in a new multicenter study.

For patients with advanced Parkinson’s disease, the expanded FDA approval of the Exablate Neuro platform allows for the use of MRI-guided focused ultrasound in performing staged bilateral pallidothalamic tractotomy.




































