
Women's Health MRI
Latest News

Latest Videos

Shorts
Podcasts
CME Content
More News

Catch up on the most-well viewed radiology content in September 2025.

Facilitating increased efficiency in radiation therapy planning, the new Rembra RT and Areta RT computed tomography platforms reportedly offer 4D CT capabilities and image reconstruction speeds up to 106 images per second.

Emphasizing enhanced connectivity, the latest version of the Intelligent Radiation Therapy (iRT) software may facilitate improved workflow efficiencies with the planning, performance and reporting for radiation therapy.

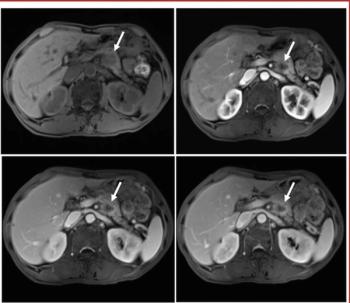
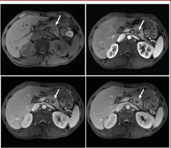
The M-PRiSM risk stratification, which incorporates MRI features, offers a significantly higher C-index, one-year AUC and two-year AUC than the 8th AJCC staging system for predicting postoperative survival for patients with pancreatic ductal adenocarcinoma.

Expanded capabilities with the body composition analysis software include automated segmentation of over 140 muscles, skeletal and organ structures from a 15–20-minute MRI.

Offering prospective SNR calculation derived from prescribed slices, the SNR Calculator reportedly facilitates a higher degree of accuracy with quantitative SNR values beyond that of calculators from device manufacturers.

The AI-powered Tempus Pixel software update provides T1 and T2 inline maps to augment cardiac MRI assessment.

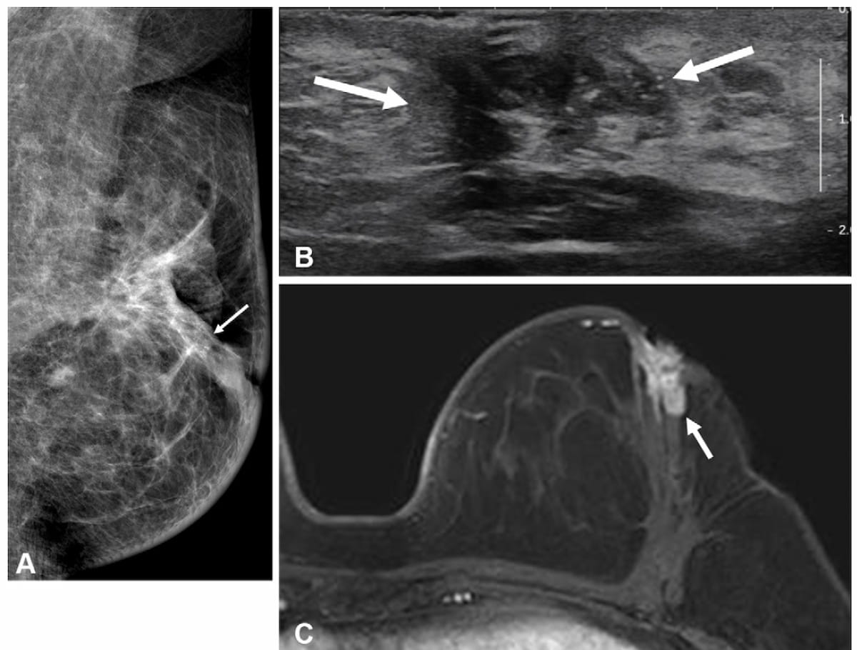
For HER2-positive breast cancer patients with radiologic complete response on breast MRI after neoadjuvant chemotherapy (NAC), the absence of calcifications was associated with over a 13 percent higher positive predictive value (PPV) for pathologic complete response (pCR).

Circumferential aneurysm wall enhancement on MRI was associated with a 3.8-fold higher risk of intracranial aneurysm instability within a four-year period, according to a study involving over 1,350 patients.

For myocardial extracellular volume quantification, single-phase and dual-phase photon-counting CT provided over 20 percent higher correlation with cardiac MRI in contrast to dual-phase energy-integrating detector CT, according to new research findings.

In a 10-study meta-analysis examining the use of whole-body MRI for asymptomatic individuals, researchers noted a pooled cancer detection rate of 1.57 percent.

Catch up on the most-well viewed radiology content in August 2025.

Catch up on the top radiology content of the past week.

Catch up on the top radiology content of the past week.

Incorporating technology from Siemens Healthineers’ Magnetom Skyra Fit system, the Invision 3T Recharge Operating Suite offers AI-powrred protocols and automated image reconstruction capabilities.

In a recent interview, Tammie Benzinger, M.D., Ph.D., discussed the utility of portable low-field MRI to help identify patients in remote settings who may be viable candidates for subsequent MRI workup and consideration for new anti-amyloid therapies in treating Alzheimer’s disease.

In addition to facilitating centralized scanning for a variety of imaging, the TechLive system may help ease the strain of technologist shortages and broaden access to advanced imaging exams.

Lower proportions of extremely dense breasts and high BRCAT lifetime risk among Black women in comparison to White women may have resulted in a lower likelihood of eligibility for supplemental screening insurance coverage in Pennsylvania, according to new research.

The multimodality remote scanning modality uOmniscan and the recently FDA-cleared 3T uMR Ultra MRI system were unveiled at the Association for Medical Imaging Management (AHRA) conference in Las Vegas.

Catch up on the top radiology content of the past week.

The addition of two new AI-enabled models for the latest version of the NeuroQuant Brain Tumor software facilitates automated tracking of the progression of brain tumors and meningiomas.

Catch up on the most-well viewed radiology content in July 2025.

Catch up on the top AI-related news and research in radiology over the past month.

Catch up on the top radiology content of the past week.

Beyond the hype, whole-body MRI offers limited clinical benefit in the general population with extraneous use potentially triggering a cycle of overdiagnosis, unnecessary treatment and financial strain.










































