
Oncology MRI
Latest News


MRI-Based Deep Learning for Lymph Node Metastasis Detection in Colorectal Cancer: What a New Meta-Analysis Reveals

What a New Meta-Analysis Reveals About the PI-RADS v2.1 System for Prostate MRI
Latest Videos

Shorts
Podcasts
CME Content
More News

Catch up on the most-well viewed radiology content in September 2025.

Facilitating increased efficiency in radiation therapy planning, the new Rembra RT and Areta RT computed tomography platforms reportedly offer 4D CT capabilities and image reconstruction speeds up to 106 images per second.

Emphasizing enhanced connectivity, the latest version of the Intelligent Radiation Therapy (iRT) software may facilitate improved workflow efficiencies with the planning, performance and reporting for radiation therapy.

The M-PRiSM risk stratification, which incorporates MRI features, offers a significantly higher C-index, one-year AUC and two-year AUC than the 8th AJCC staging system for predicting postoperative survival for patients with pancreatic ductal adenocarcinoma.

PSMA PET offered 18 percent higher accuracy for detecting biochemical recurrence of PCa in contrast to mpMRI, according to findings from a 67-study meta-analysis.

Expanded capabilities with the body composition analysis software include automated segmentation of over 140 muscles, skeletal and organ structures from a 15–20-minute MRI.

Offering prospective SNR calculation derived from prescribed slices, the SNR Calculator reportedly facilitates a higher degree of accuracy with quantitative SNR values beyond that of calculators from device manufacturers.

Catch up on the top radiology content of the past week.

Abbreviated biparametric MRI demonstrated nearly equivalent detection rates for clinically significant and clinically insignificant prostate cancer as multiparametric MRI, according to research involving 22 centers in 12 countries.

For HER2-positive breast cancer patients with radiologic complete response on breast MRI after neoadjuvant chemotherapy (NAC), the absence of calcifications was associated with over a 13 percent higher positive predictive value (PPV) for pathologic complete response (pCR).

In a 10-study meta-analysis examining the use of whole-body MRI for asymptomatic individuals, researchers noted a pooled cancer detection rate of 1.57 percent.

Catch up on the most-well viewed radiology content in August 2025.

Catch up on the most-well viewed prostate imaging content in August 2025.

Catch up on the top AI-related news and research in radiology over the past month.

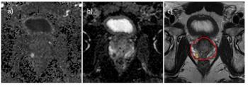
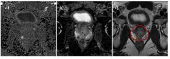
In a new review of MRI-based scoring systems for T-staging of prostate cancer, researchers discuss key literature findings and principles in evaluating the extent of prostate cancer (PCa) lesions, and whether a focus on specificity could enhance the staging of PCa.

Catch up on the top radiology content of the past week.

A deep learning multimodal model that incorporates MRI features offered nearly double the sensitivity for predicting post-prostatectomy biochemical recurrence of prostate cancer in comparison to the traditional CAPRA-S scoring system.

In addition to facilitating centralized scanning for a variety of imaging, the TechLive system may help ease the strain of technologist shortages and broaden access to advanced imaging exams.

Lower proportions of extremely dense breasts and high BRCAT lifetime risk among Black women in comparison to White women may have resulted in a lower likelihood of eligibility for supplemental screening insurance coverage in Pennsylvania, according to new research.

Offering an 87 percent sensitivity for clinically significant prostate cancer (csPCa), the deep learning model demonstrated an 86 percent AUC for predicting > PI-RADS 3 lesions on prostate MRI.

The multimodality remote scanning modality uOmniscan and the recently FDA-cleared 3T uMR Ultra MRI system were unveiled at the Association for Medical Imaging Management (AHRA) conference in Las Vegas.

Catch up on the top radiology content of the past week.

An analysis of over 749,000 Medicare beneficiaries diagnosed with prostate cancer over a five-year period found that Black men were 13 percent less likely to receive PET imaging and 16 percent less likely to receive MRI in comparison to White men.

Catch up on the most-well viewed radiology content in July 2025.

Catch up on the top AI-related news and research in radiology over the past month.








































