
A good awareness of your communication style with others can pay significant dividends in your career.

A good awareness of your communication style with others can pay significant dividends in your career.

While social media posts abound about the impact of the residency match in different fields and other topics, this author encourages perspective that is grounded in the facts.

In an age of robust imaging volume, time constraints and challenges with voice recognition software, attention to detail with verbiage in radiology reports may suffer.

In addition to the advantages of working remotely, this author says teleradiology increases competition, collaboration and growth for radiologists and rad groups alike.

From pagers, transcriptionists, and low-tech X-rays to teleradiology, advanced imaging and artificial intelligence (AI), this author considers the evolution of radiology over three decades.

Can more easygoing radiologists coexist with productivity-driven colleagues?

When you are asked about your occupation, how do you respond?

Does the allure of leadership lose its luster for more seasoned radiologists?

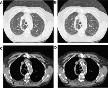
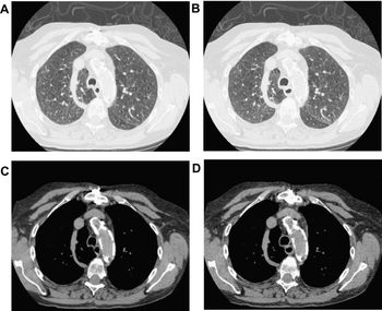
When you’re asked to review an X-ray for a patient who already had follow-up imaging, do you consider the results of follow-up imaging or evaluate the X-ray with fresh eyes?

When looking for a doc for your own health care needs, do you opt for a colleague, the closest in-network option or someone on the same page with your perspective on health care?

Acknowledging the repetitive reality that accompanies productivity incentives and seemingly extraneous verbiage to satisfy certain insurance requirements in radiology, this author has developed an appreciation for filler-free brevity and quiet.

For system errors and failures in radiology, are we prone to a satisfaction of search that prevents us from addressing deeper issues?

Is there an optimal pace for navigating the ebbs and flows of our worklists in radiology?

Catch up on the most well-read Eric Postal, M.D.-penned blogs from 2022.

In order to alleviate some of the challenges with radiology worklist overload, this radiologist suggests alternative approaches for conveying new imaging requests and priorities.

Having interests outside of one’s chosen profession provides more of a multifaceted perspective and potentially more door-opening opportunities in the future.

Relief from looming reimbursement cuts, a PACS system that allows customized keyboard shortcuts and consistently relevant clinical histories are a few of the items on the wish list for this radiologist.

Lamenting the deteriorating quality of clinical histories that radiologists receive from referring clinicians, this author comically speculates about clinical histories one may see in the near future.

Taking the time to reexamine motivational priorities may be key to achieving an optimal work-life balance.

Building a career for the long haul requires a foundation of good life and work habits as well as an openness to innovation and change.

The ebbs and flows of worklists in radiology require equal parts productivity and preservation.

Do our assumptions and “satisfaction of search” prevent us from digging deeper on imaging reads?

Is due consideration of patient history, demographics, and previous imaging essential or a cheater’s crutch when assessing new imaging?

Rads will always have to deal with forces outside of their control, but it’s how we address those forces that makes us the type of radiologist we can be proud of.

In a world where “gaming supplements” are available for those obsessed with video games, could radiologists be the next target for snake oil “energy” concoctions of sugar and caffeine?

While artificial intelligence (AI) models have been acknowledged for aiding imaging analysis or facilitating workflow enhancements, this author envisions AI as a potential workstation conceierge capable of turning common venting and gripes into actionable items for significant improvements.

Addressing upgrades of traditional infrastructure used in everyday radiology practice may be a more practical use of resources than investment in artificial intelligence (AI) technology that is still evolving.

A teleradiology fellowship that offers an information technology (IT) component and dedicated time with teleradiology attendings to learn tricks of the trade with workstation navigation could go a long way toward reducing downtime and maximizing efficiency.

Navigating key logistical aspects, maintaining coverage contracts, and understanding the pros and cons of different reimbursement models are just a few of the topics that could make a teleradiology fellowship worthwhile.

Humility, perspective and refraining from hasty, emotional responses can go a long way toward defusing confrontations.