
Catch up on the top AI-related news and research in radiology over the past month.

Performing computed tomography pulmonary angiography (CTPA) with a high-pitch photon counting detector (PCD) offers enhanced signal-to-noise ratio (SNR) and contrast-to-noise ratio (CNR) at a reduced radiation dose in comparison to employing an energy-integrating detector (EID), according to new research.

Catch up on the top AI-related news and research in radiology over the past month.

Offering dedicated computed tomography (CT) assessment of the cardiovascular system, the SpotLight and SpotLight Duo systems reportedly provide high-resolution imaging for diagnosis and monitoring of cardiovascular diseases.

Catch up on the top radiology news of the past week.

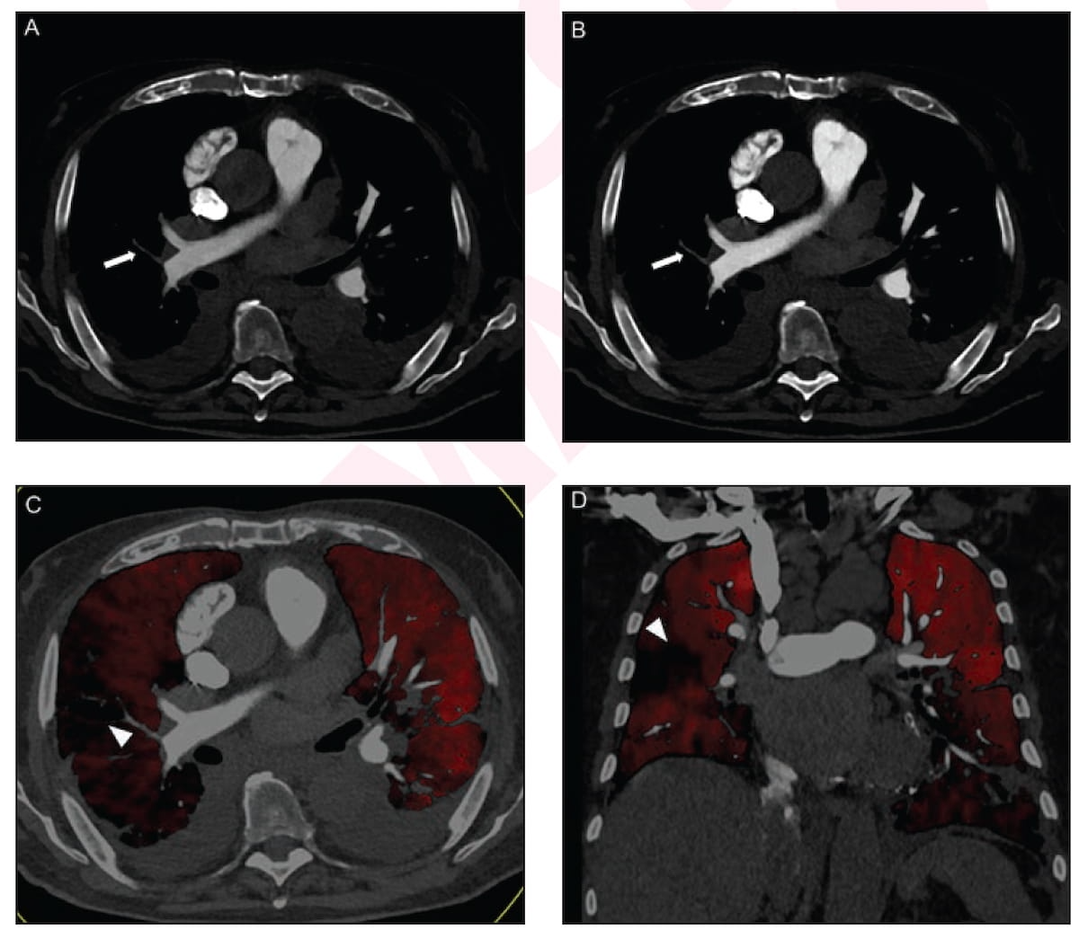
While the artificial intelligence (AI) triage system significantly reduced wait times for computed tomography pulmonary angiography (CTPA) results that were positive for pulmonary embolism (PE), researchers found no significant differences in the use of adjunctive AI with respect to accuracy rates and specificity rates.

Review the case study and test your knowledge to make the correct diagnosis.

Thirty-five percent of the interventional radiology malpractice cases involved vascular procedures and 26 percent of overall malpractice cases that went to trial resulted in plaintiff judgments with the average award being over $2 million.

Catch up on the top AI-related news and research in radiology over the past month.

The Pulmonary Embolism (PE) Triage and Notification (PETN) module with RapidAI’s RapidPE platform reportedly demonstrated over 90 percent sensitivity and specificity rates for detection of central PE on computed tomography (CT), according to multicenter study findings presented at the 9th Annual Pulmonary Embolism Symposium.

The use of automated detection of large vessel occlusion on computed tomography (CT) through artificial intelligence (AI) software reportedly led to an 11.2-minute reduction in triage time from the completion of imaging to initiation of endovascular therapy, according to newly published research.

Catch up on the top radiology content of the past week.

Abnormal findings on coronary computed tomography angiography-derived fractional flow reserve (CCTA-FFR) are associated with 3.2-fold higher risks of all-cause death or spontaneous myocardial infarction (MI) in patients with new-onset stable angina pectoris and coronary stenosis, according to newly published research.

Catch up on the top radiology content of the past week.

The presence of high-grade hypoattenuation thickening on follow-up computed tomography (CT) after left atrial appendage occlusion (LAAO) procedures for patients with atrial fibrillation was associated with a 4.6-fold risk for stroke, according to newly published research.

Catch up on the top radiology content of the past week.

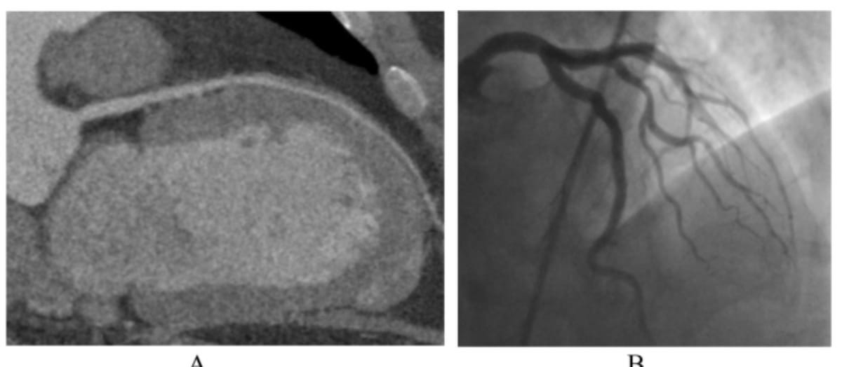
A high lipid core burden in non-revascularized plaque is associated with nearly a 13-fold higher risk of major adverse cardiovascular events (MACEs) such as cardiac death and myocardial infarction (MI), according to new research based on coronary computed tomography angiography (CCTA) findings.

Review the case study and test your knowledge to make the correct diagnosis.

Emerging research suggests that achieving an optimal virtual monoenergetic image (VMI) energy level with photon-counting computed tomography (CT) may allow up to a 40 percent reduction of contrast media dosing for coronary CT angiography.

Catch up on the top AI-related news and research from the past month.

Catch up on the most viewed content at Diagnostic imaging in July 2023.

Review the case study and test your knowledge to make the correct diagnosis.

Superfluous pan scans have become standard for a vast majority of minor injury presentations in emergency room settings.

The InterView Fusion and InterView XP reportedly improve image quality for single-photon emission computed tomography (SPECT) and offer imaging tools specifically geared to common nuclear medicine studies ranging from bone imaging to cardiac assessment and lung imaging.

In a study cohort of patients undergoing pre-operative workup for transcatheter aortic valve replacement (TAVR), researchers found the use of photon-counting CT for ultra-high resolution coronary CT angiography had a 96 percent sensitivity rate and an 84 percent specificity rate for the detection of coronary artery disease (CAD).

Catch up on the top radiology content of the past week.

In a recent video interview from the Society for Imaging Informatics in Medicine (SIIM) conference, Ali Tejani, M.D., discussed pertinent insights on leveraging the value of adjunctive artificial intelligence (AI)-enabled triage software for computed tomography (CT) scans with radiology workflow improvements to achieve “clinically meaningful change” for patients with incidental pulmonary emboli findings.