Study with CT Data Suggests Women with PE Have More Than Triple the One-Year Mortality Rate than Men

News
Article

After a multivariable assessment including age and comorbidities, women with pulmonary embolism (PE) had a 48 percent higher risk of one-year mortality than men with PE, according to a new study involving over 33,000 patients.

New research suggests that women have a significantly higher risk of death within one year of pulmonary embolism (PE) detection than men.

For the retrospective study, recently published in Clinical Imaging, researchers reviewed data from 33,628 women (mean age of 55) who had computed tomography (CT) pulmonary angiography or ventilation/perfusion scintigraphy over a seven-year period at a multisite urban academic center. Women comprised 69 percent of the cohort, according to the study.

The study authors found that women with PE had a 2.75 hazard ratio (HR) for one-year mortality in comparison to a 1.38 HR for men with PE. After subsequent assessment employing age and the Charleston comorbidity index (CCI), which is utilized to ascertain survival rates in patients with multiple comordities, the researchers determined that women with PE had a 68 percent higher risk of one-year mortality in contrast to a 20 percent higher risk in men with PE.

Study with CT Data Suggests Women with PE Have More Than Triple the One-Year Mortality Rate than Men

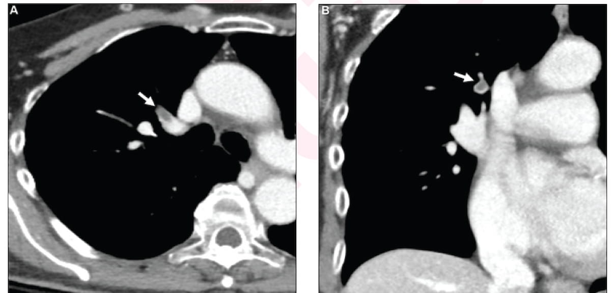
Here one can see contrast-enhanced CT images for a 71-year-old woman diagnosed with incidental pulmonary embolism (IPE). New research suggests a significantly higher one-year mortality risk for women diagnosed with pulmonary embolism (PE) than men. (Images courtesy of the American Journal of Roentgenology.)

“Despite the extensive literature on short-term mortality of PE, the impact of PE on longer-term mortality, especially the role of gender, is much less-well studied. The present study shows a significant impact of imaging diagnosed PE on one-year mortality, with a substantially larger effect observed in women,” wrote Eitan Sosner, M.D., a musculoskeletal radiologist at the Columbia University Irving Medical Center in New York City, and colleagues.

In a cohort that included 41 percent Black or African American patients as well as 41 percent of patients identifying as Spanish, Hispanic, or Latino, the researchers noted that the differences between men and women with respect to one-year mortality for PE were apparent in minority populations as well.

Black women with PE had a 2.43 HR for one-year mortality in comparison to a 1.31 HR for Black men with PE. The study authors determined that Hispanic women with PE had a 3.29 HR in contrast to a 1.8 HR for Hispanic men with PE.

“We found the differential impact of PE on mortality in women appears persistent across racial and ethnic groups. These differences were statistically significant for Black and Hispanic patients in the overall analysis. After correction for age and CCI, the trend of gender difference persisted in Black and Hispanic patients, although was not statistically significant in these smaller sample sizes,” added Sosner and colleagues.

Three Key Takeaways

1. Higher one-year mortality risk in women. Women diagnosed with pulmonary embolism (PE) have a significantly higher one-year mortality risk compared to men. The study found a hazard ratio (HR) of 2.75 for women versus 1.38 for men, indicating a substantial gender disparity.

2. Persistent gender differences across racial and ethnic groups. The increased mortality risk for women with PE was observed across different racial and ethnic groups. Black women had a one-year mortality HR of 2.43 compared to 1.31 for Black men, while Hispanic women had an HR of 3.29 versus 1.8 for Hispanic men.

3. Potential contributing factors to higher mortality in women with PE.
The researchers suggested that women may present with more severe PE cases, higher pulmonary artery pressure, and right heart dysfunction. Additionally, women have a higher risk of bleeding complications with anticoagulation or thrombolysis, which could influence treatment outcomes.

While noting that more research is needed to ascertain the causes of the differences between women and men with respect to one-year mortality rates with PE, they said hemodynamic and hemostatic responses to PE and treatments for the condition could be contributing factors.

“Women present with more severe cases, with higher pulmonary artery pressure and evidence of right heart dysfunction. Women also have higher bleeding risk with anticoagulation or thrombolysis,” pointed out Sosner and colleagues.

(Editor’s note: For related content, see “Adjunctive AI Leads to 16 Percent Increase in Sensitivity for Incidental Pulmonary Embolism,” “Can Photon-Counting CT Provide Superior Lung Perfusion Imaging Over Dual-Energy CT?” and “Can AI Enhance CT Detection of Incidental Extrapulmonary Abnormalities and Prediction Mortality?”)

Beyond the inherent limitations of a retrospective, single health-care system study, the authors acknowledged reliance on electronic health records (EHRs) and a National Death Index (NDI) query to determine mortality in the cohort.

Newsletter

Stay at the forefront of radiology with the Diagnostic Imaging newsletter, delivering the latest news, clinical insights, and imaging advancements for today’s radiologists.

Recent Videos
Diagnostic Imaging’s Weekly Scan: September 28 — October 4
Diagnostic Imaging's Weekly Scan: September 21 — September 27
CT Radiation Exposure and Hematologic Cancers in Children: An Interview with Rebecca Smith-Bindman, MD
© 2025 MJH Life Sciences

All rights reserved.