
Employing a cut-off of Node-RADS > 2 for differentiating malignant lymph nodes with breast MRI in women with breast cancer, researchers noted average sensitivity and specificity rates of 91.5 percent and 87.4 percent respectively.

Employing a cut-off of Node-RADS > 2 for differentiating malignant lymph nodes with breast MRI in women with breast cancer, researchers noted average sensitivity and specificity rates of 91.5 percent and 87.4 percent respectively.

Catch up on the top radiology content of the past week.

Artificial intelligence (AI) assisted contouring of prostate cancer demonstrated superior balanced accuracy than manual standard-of-care contouring and hemigland contouring with MRI, according to a new study.

Catch up on the top radiology content of the past week.

As ongoing advances continue to redefine and elevate the diagnostic capabilities of MRI, ensuring the safety of patients and operators through effective signage, training and regular safety audits is of paranount importance.
Offering access to over 110 AI applications, the enterprise imaging platform enables radiologists to test, deploy and monitor the use of AI technologies.

Catch up on the top radiology content of the past week.

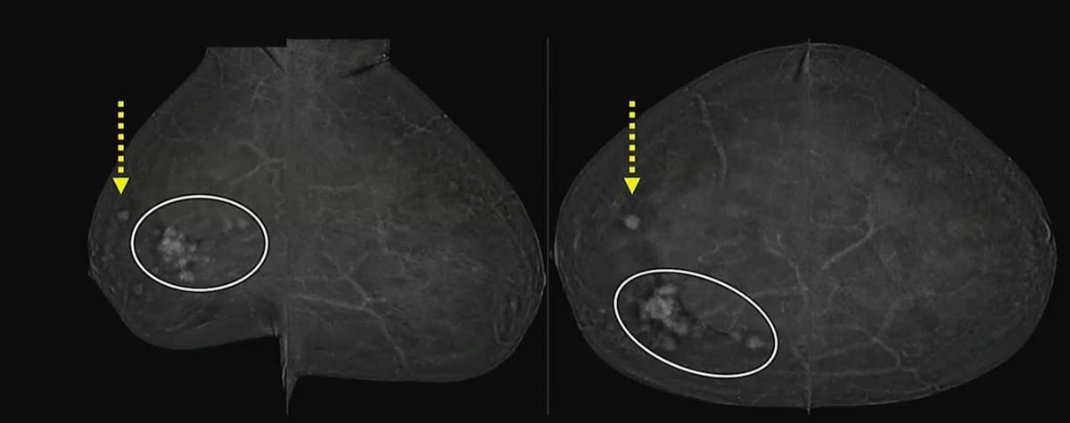
Additional carcinoma in the ipsilateral breast was detected on preoperative MRI exams in 24 out of 102 women prior to lumpectomy and mastectomy procedures, according to new study findings presented at the 2024 American Society of Clinical Oncology (ASCO) Annual Meeting in Chicago.

Developed by an extended prostate cancer working group of the European Society of Urogenital Radiology (ESUR), the updated PI-QUAL scoring system emphasizes a simplified scale of image parameters that applies to prostate MRI scans with and without intravenous contrast use.

Emphasizing restriction spectrum imaging (RSI), the recently launched prostate MRI software OnQ Prostate may enhance PI-RADS assessments and workflow efficiency.

Catch up on the most-well viewed radiology content in May 2024.

Catch up on the top radiology content of the past week.

Catch up on the top AI-related news and research in radiology over the past month.

In a study of over 2,000 women with dense breasts and average breast cancer risk, abbreviated MRI (AB-MR) demonstrated an 18.9 per 1000 cancer detection rate (CDR) in baseline exams, and all cancers detected with baseline or subsequent AB/MR exams were stage 0 or 1.

New prospective research examining the utility of 18F-PSMA-1007 PET/CT revealed comparable sensitivity to mpMRI for detecting clinically significant prostate cancer and a 17 percent higher specificity rate.

Incorporating dynamic contrast-enhanced MRI, a deep learning model demonstrated a 20 percent higher AUC in external validation testing than clinical factors alone and over a 17 percent higher AUC than radiological factors alone in predicting proliferative hepatocellular carcinoma (HCC).

Catch up on the top radiology content of the past week.

In recognition of National Women’s Health Month, Dana Bonaminio, MD, Amy Patel, MD, and Stacy Smith-Foley, MD, shared their thoughts and perspectives on the recently updated breast cancer screening recommendations from the United States Preventive Services Task Force (USPSTF).

The artificial intelligence (AI)-powered module provides a prostate segmentation tool for MRI-guided transurethral ultrasound ablation (TULSA) procedures in patients with prostate cancer.

Catch up on the top radiology content of the past week.

In a recent lecture at the 2024 ARRS Annual Meeting, Jordana Phillips, MD, discussed the role of contrast-enhanced mammography in staging breast cancer, evaluating response to neoadjuvant chemotherapy and recalls from screening.

Using a learning network model to discuss challenges and share insights among radiology departments from five different organizations, researchers noted that 87 percent of audited prostate MRI exams had PI-QUAL scores > 4 at the conclusion of the collaborative program.

In a recent interview, Stacy Smith-Foley, M.D., shared her perspective on the shortcomings of the recently issued breast cancer screening recommendations from the United States Preventive Services Task Force (USPSTF).

In a study involving over 1,000 visible prostate lesions on biparametric MRI, a deep learning algorithm detected 96 percent of clinically significant prostate cancer (csPCa) in comparison to a 98 percent detection rate for an expert genitourinary radiologist.

A point-based model that incorporates prostate MRI findings offered a sensitivity rate of 89.5 percent for detecting clinically significant prostate cancer and could prevent over 20 percent of biopsies, according to new research.