
In a new literature review, researchers noted key findings on the use of breast MRI in facilitating breast cancer detection for women with dense breasts and others at high-risk for breast cancer.

Discussing findings from a new study presented at the Society for Breast Imaging (SBI) conference, Shahrzad Tavana, M.D., detailed the significant impact of training sessions for MRI technologists in improving breast positioning, optimal field of view and accuracy of sequence submissions to PACS for breast MRI exams.

In a new literature review, researchers noted key findings on the use of breast MRI in facilitating breast cancer detection for women with dense breasts and others at high-risk for breast cancer.

Catch up on the top radiology content of the past week.

Catch up on the most-well viewed radiology content in March 2024.

Offering improved image clarity capable of capturing details of subtle pathology, the Magnetom Terra.X 7T MRI system reportedly features the first eight-channel parallel transmit architecture for clinical use.

SyMRI 3D reportedly combines precise estimates of regional brain volume with improved resolution bolstering accuracy with lesion analysis.

The multimodality system nCommand Lite reportedly facilitates real-time remote imaging guidance on scanning parameters and procedure assessments to licensed technologists for a variety of imaging modalities including CT and MRI.

Catch up on the top AI-related news and research in radiology over the past month.

Catch up on the top radiology content of the past week.

For men with prostate cancer, the use of MRI-guided transurethral ultrasound ablation (TULSA) led to a 92 percent decrease in median prostate volume at one year, according to new research recently presented at Society of Interventional Radiology (SIR) conference.

Ga-PSMA PET MRI offers nearly 22 percent higher sensitivity for localized prostate cancer and comparable specificity to multiparametric MRI, according to a recently published prospective study.

Catch up on the top radiology content of the past week.

For men with PI-RADS 3 lesions, PRIMARY scores of 4-5 with PET/MRI had a sensitivity rate of 87.5 percent for clinically significant prostate cancer, according to newly published research.

In a study of patients who had lumbar spine MRI exams at 0.55T, 1.5T and 3T, researchers found that 0.55T MRI provided acceptable diagnostic quality across all sequences for varying pathologies including degenerative joint disease, compression fractures and osseous metastatic disease.

Catch up on the top radiology content of the past week.

Emphasizing optimal balancing of patient safety and image quality, these authors discuss the impact of the specific absorption rate and B1+rms parameters upon radiofrequency exposure with MRI exams.

Amid new research insights and advances in the management of patients with prostate cancer, Daniel Spratt, M.D., shared his observations in an interview on the emerging role and impact of PSMA-PET imaging.

Emerging research with low-field MRI shows that persistently moderate to severe opacities were a common finding in patients up to two years after having acute COVID-19 pneumonia.

Catch up on the top radiology content of the past week.

Based on findings from a multicenter study of over 1,600 patients, researchers at the European Congress of Radiology suggest the inclusion of autonomous artificial intelligence (AI) triage could facilitate up to a 75 percent reduction in prostate MRI reading workload.

In a study of nearly 2,500 women with BRCA1 or BRCA2 sequence variations, researchers found that MRI surveillance led to a 3.2 percent breast cancer mortality risk at 20 years in contrast to a 14.9 percent mortality risk for those who did not have MRI surveillance.

Sixty-five percent of patients with newly diagnosed high-risk prostate cancer may have extraprostatic extension on MRI, and PSMA PET/CT findings suggest those with Gleason scores of eight or higher have more than double the risk of metastasis, according to a new study presented at the European Congress of Radiology (ECR).

Catch up on the most-well viewed radiology content in February 2024.

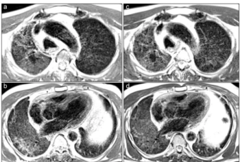
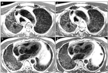
A new meta-analysis noted pooled sensitivity and specificity rates of 83 percent and 91 percent, respectively, for the use of non-contrast abbreviated MRI in surveillance of hepatocellular carcinoma (HCC).

Catch up on the top AI-related news and research in radiology over the past month.

For patients with suspected acute stroke, researchers noted higher image quality for deep learning-accelerated MRI, which can be completed over 11 minutes sooner than similar sequences for conventional MRI.