
Given the frequent challenges in magnetic resonance imaging that are associated with claustrophobia, this author discusses innovations in noise reduction, radiofrequency coils and wide bore scanners, and emphasizes keys to relieving patient anxiety.

Given the frequent challenges in magnetic resonance imaging that are associated with claustrophobia, this author discusses innovations in noise reduction, radiofrequency coils and wide bore scanners, and emphasizes keys to relieving patient anxiety.

Utilized for neurological procedures including biopsies, catheter placement and electrode introduction, the SmartFrame OR Stereotactic System can be combined with preoperative MRI or CT to ensure optimal placement of devices and instruments.

For women with dense breasts, abbreviated breast MRI and digital breast tomosynthesis (DBT) both offered greater than 98 percent sensitivity rates and greater than 94 percent negative predictive values (NPVs) for breast cancer detection, according to newly published research.

Featuring a lightweight body contouring design, the Small Body Array reportedly facilitates optimal signal-to-noise ratio (SNR) and between 10 and 40 percent faster throughput.

Catch up on the top radiology content of the past week.

Utilizing brain MRI and cognitive assessments, the newly FDA-approved, AI-powered software platform BrainSee can reportedly predict the progression of amnestic mild cognitive impairment (aMCI) to Alzheimer’s dementia within five years.

Catch up on the top radiology content of the past week.

In a recent proof-of-concept trial assessing the combination of aducanumab infusion with MRI-guided focused ultrasound to open the blood-brain barrier, researchers found significant reductions in amyloid-beta load at 26 weeks in patients with Alzheimer’s disease.

At an amplitude of 200 mT/m and a slew rate of 200 T/m/s, the gradients for the FDA-cleared MAGNETOM Cima.X are reportedly the strongest for currently available whole-body MRI scanners.

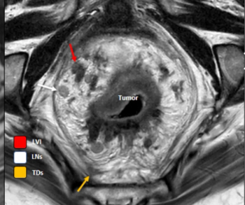
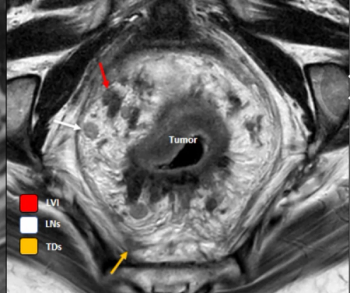
An emerging deep learning model, which incorporates T2-weighted MRI and clinical data, demonstrated an 83.9 percent AUC and an 85 percent specificity rate for preoperative prediction of tumor deposits in patients with rectal cancer.

Catch up on the most viewed content on AI in radiology from 2023.

Touching on a variety of topics in radiology, here are the top five most well-viewed content from Diagnostic Imaging in 2023.

Catch up on the top AI-related news and research in radiology over the past month.

Review the case study and test your knowledge to make the correct diagnosis.

Catch up on the most well-read Eric Postal, M.D.-penned blogs from 2023.

Catch up on the top radiology content of the past week.

New research shows that higher total lesion volume in the brain for former football players is directly associated with higher vascular risks and changes in white matter hyperintensity-associated biomarkers of Alzheimer’s disease.

In a study examining the potential of the large language models ChatGPT-4 and Bard to follow ACR Appropriateness Criteria for breast cancer, lung cancer, ovarian cancer and colorectal cancer screening, researchers noted “impressive accuracy in making radiologic clinical decisions.”

Catch up on the most well-read magnetic resonance imaging (MRI) articles from 2023.

Review the case study and test your knowledge to make the correct diagnosis.

Catch up on the top radiology content of the past week.

Contrast-enhanced mammography had a 98 percent sensitivity rate for diagnosing invasive lobular carcinoma and provided high conspicuity for 82 percent of detected lesions, according to research presented at the recent Radiological Society of North America (RSNA) conference.

In one of the study periods from recently published research on rectal MRI acquisition, researchers found that 39.7 percent of rectal MRI exams adhered to guidelines from the Society of Abdominal Radiology (SAR) and only 6.8 percent followed guidelines from the European Society of Gastrointestinal and Abdominal Radiology (ESGAR).

In a recent interview, Alexander Rau, M.D., discussed emerging research, presented at the recent RSNA conference, that shows the capability of diffusion microstructural imaging to differentiate subtle shifts in microstructural gray matter associated with common symptomatology of long Covid.

Catch up on the top radiology content of the past week.