
MRI
Latest News
Latest Videos
CME Content
More News

Higher repetitive head impacts in adult soccer players were associated with lower fractional anisotrophy and a higher orientation dispersion index in the frontal lobe, orbitofrontal cortex, and the parietal lobe, according to diffusion MRI findings to be presented at the Radiological Society of North America (RSNA) conference.

Catch up on the top AI-related news and research in radiology over the past month.

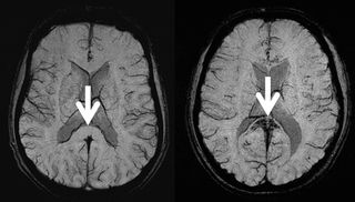
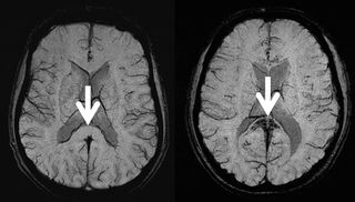
Through AI technology, Neurophet AQUA now provides multiple sclerosis (MS) analysis with a combination of lesion quantification and enhanced segmentation of T2-FLAIR MRI.

Catch up on the top radiology content of the past week.
Utilized in conjunction with hyperpolarized Xenon-129 for the assessment of lung ventilation, the chest coil can now be employed in the Signa Premier and Discovery MR750 3T MRI systems.

Offering a variety of AI-enabled tools to facilitate radiology workflow efficiency, the BlueSeal MRI system is reportedly the first wide bore, helium-free 1.5T MRI platform in the field.

In a recent interview, Richard Duszak, MD, discussed new study findings that showed over nine percent annual increases in ultrasound, CT and MRI interpretation by office-based non-physician practitioners (NPPs) between 2013 and 2022.

Agreement on follow-up imaging was 41 percent more likely with recommendations by thoracic radiologists and 36 percent less likely on recommendations for follow-up nuclear imaging, according to new research.

Catch up on the top radiology content of the past week.

Icobrain.aria is reportedly the first AI software geared toward the detection and monitoring of amyloid-related imaging abnormalities (ARIAs) on brain MRI.

The Signa Magnus MRI device offers a slew rate and gradient amplitude that are reportedly superior to those of 60 or 70 cm bore whole-body MRI systems.

Trained on over five million spine MRI scans, the RAI software reportedly facilitates rapid pathology detection and enhanced consistency with disc measurement.

Catch up on the top radiology content of the past week.

In addition to a lower rate of preoperative breast MRI use, emerging research found that Black women with breast cancer who didn’t have a preoperative MRI had a higher positive surgical margin rate than White women with no preoperative MRI.

An artificial intelligence (AI) model demonstrated a 72 percent AUC for predicting breast cancer one year before a subsequent MRI.

In newly published guidelines, researchers discuss the utility of CT, MRI and PET/CT in the diagnosis, staging, treatment monitoring and follow-up imaging for peritoneal metastases in patients with ovarian or colorectal cancer.

In recent interviews, Eric Rohren, M.D., and Krishna Nallamshetty, M.D., discuss the potential of abdominal aortic aneurysms (AAAs) to progress into life-threatening consequences and an emerging AI-powered tool that may bolster adherence to best practice recommendations in radiology reporting of incidental AAA findings on CT and MRI.

Catch up on the top radiology content of the past week.

In a recent interview, Stamatia Destounis, M.D., discussed the impact of national breast density notification for mammography reports and key considerations with staffing and ongoing education for patients, staff and referring providers on the merits of supplemental breast imaging.

For patients with rectal cancer, an emerging nomogram that combines deep learning and clinical factors had greater than 16 percent and 23 percent increases in accuracy and specificity, respectively, for pre-op prediction of tumor deposits in comparison to clinical factors alone.

Emerging technologies included with the 10th version of the 1.5T MRI platform include Synergy DLR Clear and Synergy Vision that are geared toward mitigating common challenges with artifacts.

Catch up on the most-well viewed radiology content in October 2024.

Catch up on the top radiology content of the past week.

New research revealed no significant difference between gadolinium-free MRI and GBCA-enhanced MRI in preoperative predictive accuracy for the grading of diffuse gliomas in adults.

Catch up on the top AI-related news and research in radiology over the past month.








































