
Web-based quality control system results in significantly fewer common image quality errors radiographs, CTs and MRIs.

Web-based quality control system results in significantly fewer common image quality errors radiographs, CTs and MRIs.

Swallowed toothbrushes and other foreign bodies may alert radiologists to the possibility that the patient may have an eating disorder.

Chest radiographs and CT can identify unique features of the H7N9 virus which may assist in the proper initiation of treatment.

The federal government’s rules would allow physicians to use digital radiography instead of film-based methods for testing under the Federal Black Lung program.

Carestream received FDA clearance for a new wireless digital radiography detector designed for low-dose pediatric exams.

The global X-ray market is expected to see strong growth in the next few years, thanks to demand for mobile X-ray and retrofit upgrade kits.

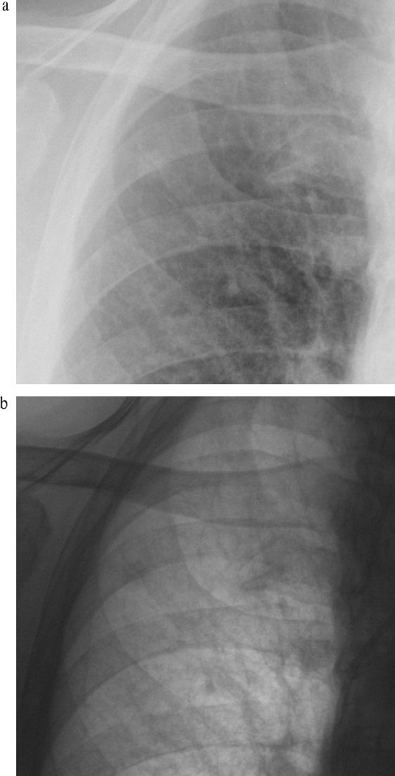
Attaching patient photos to radiographs helps increase label detection errors without adding to time for interpretation.

CAD with chest X-ray to screen for lung cancer may reveal abnormalities, but more study is required.

A new Image Gently initiative emphasizes proper pediatric imaging procedures as technology shifts from standard screen-film X-ray to digital X-ray.

Canon USA Inc. has received FDA 510(k) clearance for its digital radiography detectors, the company announced Tuesday.

Wireless x-ray detectors have come into vogue and are now available from a half dozen vendors. They are being offered singly, as a digital upgrade for analog x-ray systems, for example, or as the core of portable and advanced fixed radiography systems. GE Healthcare is among those offering a portfolio of such choices. But GE is putting a twist on its wireless detector, dubbed the FlashPad, one that company execs say will prevent what could be a ticklish problem in the future. This potential problem stems from the success of digital radiography.

When the gatekeepers clear the way to the exhibit halls at McCormick Place, Canon USA will be out with its CXDI-70C Wireless Digital Radiography System, but it won’t be alone. A gaggle of vendors, including Carestream and Fuji, will be showing portable x-ray detectors as well.

Digital radiography is now the standard technology for X-ray imaging. Computed radiography and solid-state (flat-panel) digital radiography are digital X-rays main detector systems.

Wireless detectors are taking point position in radiology’s effort to turn analog radiography into digital radiography.

It is the end of an era for Fujifilm. For decades the Japanese firm has touted computed radiography as the way to transition from film to digital radiography.

Fujifilm invented computed radiography. The Japanese company introduced CR to the U.S. nearly 30 years ago.

Agfa Healthcare extended its computed radiography portfolio with the global launch at RSNA 2009 of a compact, high-volume reader. Agfa also raised expectations among customers in the market for digital radiography systems with the unveiling of two works-in-progress built around flat-panel detectors.

Interest in computed and digital radiography was booming among vendors at RSNA 2009, as traditional providers of turnkey systems and components showed portfolios designed to appeal to cost-conscious buyers.

The artifacts observed in images derived from computed radiography come from a range of sources and user errors. A radiography team from Manipal, India, presented a digital exhibit at the RSNA meeting to illustrate sources of such artifacts and user solutions to overcome them.

A maneuverable digital radiography system has been selected over a computed radiography system by the emergency room at a U.K. facility. Steven McDonald, director of radiology in the emergency room at Royal Liverpool Hospital gave the rationale and implications for this decision in a poster presentation at RSNA 2009.

Most of the general x-ray equipment currently being used in European hospitals is digital, according to a survey by InMedica, the medical branch of market research firm IMS Research.

The 10,000th Kodak Point-of-Care computed radiography system has shipped.

A portable digital x-ray system from Fujifilm Medical Systems USA made a cameo appearance Oct. 6 in an episode of the CBS series NCIS (Naval Criminal Investigative Service).

A next generation computed radiography (CR) system and two digital radiography (DR) systems will debut in the Agfa Healthcare booth during RSNA 2009.

Queensland Health provides public health servicesacross a highly decentralized population base in thestate of Queensland.