
Computer-aided diagnosis was evaluated to determine efficacy in radiologic assessment of lung cancer.

Computer-aided diagnosis was evaluated to determine efficacy in radiologic assessment of lung cancer.

Case History: Patient presented for follow up after completion of chemotherapy and radiotherapy for hypopharyngeal cancer.

CHICAGO-Radiography images can be improved with gaming technology that recognizes issues that affect image quality.

Choosing Wisely recommendations need further implementation in order to see a drop in unnecessary medical procedures.

Case History: Pediatric patient presented with mild swelling of right lower leg.

The need for skull radiographs in young children with minor head injuries may be determined using a new clinical rule.

Case History: 20-year-old male with swelling of outer canthus of left eye.

They might not be on the field, but radiologists are an important part of the NFL’s medical team.

Diagnostic imaging procedures are sometimes necessary for pregnant women, and can be done safely in some cases.

Case History: 74-year-old male smoking 48 packs/year with history of severe dyspnea.

Case History: Woman in 7th decade of life presents with right lateral thigh mass.

This Q&A series explores radiology’s role in overdiagnosis in a variety of conditions. Here, we discuss osteoporosis.

Ankle radiographs not always needed among some children presenting with acute ankle injury.

When things are not what you expected.

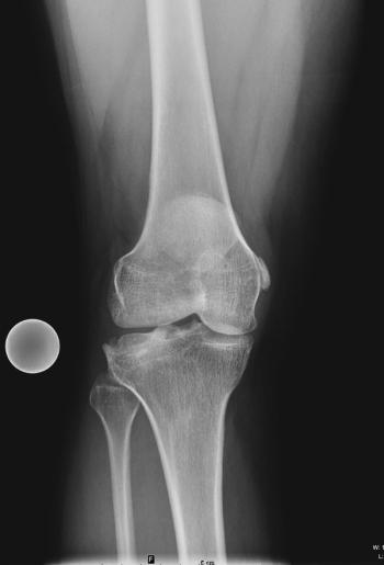
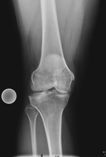
29-year-old female with history of remote right knee injury.

Imaging examinations interpreted by diagnostic radiology residents and fellows have increased.

Case History: 30-year-old male with discomfort in left groin region due to mass/swelling for one year.

Reading X-rays is turning this radiologist back into a dayhawk.

Case History: 2-year-old female with complains of difficulty breathing, paroxysmal coughing, and wheezing for one day.

Case History: Two-year-old female with cough with expectoration and high-grade fever.

74-year-old female presented with multiple, soft swellings around the knees and upper thighs.

We've stumped you before, so give them another try: our 5 hardest Image IQs.

Case History: 40-year-old male with fracture undergoes pre-anesthetic fitness evaluation for intra-medullary nailing at the fracture site.

Case History: 21-year-old female presented with the complaints of swelling of right shoulder for one year.

Case History: 22-year-old patient presented with complaint of swelling of elbow for six months following trauma.