
A personal experience with dose that confirms the need for a push for mobile DR.

A personal experience with dose that confirms the need for a push for mobile DR.

Kubtec’s newly approved breast specimen radiography system is the first and only system with tomosynthesis technology, Kubtec announced.

A guide for radiology staff for making the use of direct digital radiography more efficient.

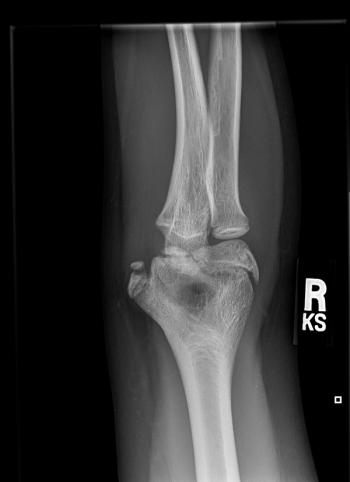
A 12-year-old boy presents to the emergency department with acute pain in the medial aspect of his right elbow after pitching in a baseball game.

Pelvic radiographs not be as effective as CTs in diagnosing pelvic fractures or dislocations in children.

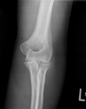
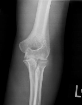
23-year-old male with a known undisclosed disease presents with left elbow pain.

Subclinical inflammation of non-swollen joints not seen on radiographs can be detected on MRI.

Knee and shoulder MRI before radiography adds to patient care costs.

Use of imaging studies in emergency departments rose significantly from 1993 to 2007, but then declined from 2007 to 2012.

Two more radiographic signs for gastric band slippage have been identified.

General practitioners in Australia are increasingly ordering imaging tests, with an increase of 45 percent over the past decade.

Male child of normal intelligence sent for skeletal survey for coarse facial features, short stature and spinal deformity.

Ultrasounds can help identify pneumonia and its progression in children without exposure to ionizing radiation.

Analysis of imaging performed immediately following the Boston Marathon bombings allowed researchers to improve the emergency response system.

Emergency department radiology services frequently are uncompensated among both uninsured and insured patients.

The MedMuseum, devoted to the history of medical technology, held its grand opening today in Erlangen, Germany.

Winner announced!

Calgary Scientific’s ResolutionMD received FDA clearance for diagnosis on mobile devices for most imaging modalities.

New image acquisition software from Carestream includes an FDA cleared bone suppression software feature.

The FDA has cleared Siemens' latest mobile C-arm system, which offers more power than existing devices.

When it comes to working with obese patients, manufacturers and clinicians are trying to solve the challenges presented in diagnostic imaging.

Direct radiography photon-counting systems detect more smaller breast cancers and DCIS, but also cause more recalls.

The FDA has given clearance to NDS Surgical Imaging for the Dome S6c diagnostic display.

Innovative radiology monitors, like the LCD screen, provide better quality images.

Intraoperative cholangiography use during cholecystectomy does not reduce the incidence of common hepatic duct or common bile duct injuries.