
|Articles|April 7, 2022
Image IQ Quiz: Elderly Male with Symptoms of Vertigo
Author(s)Pranav Chitkara, M.D.
What is your diagnosis?
Advertisement
Case submitted by Pranav Chitkara, M.D. via
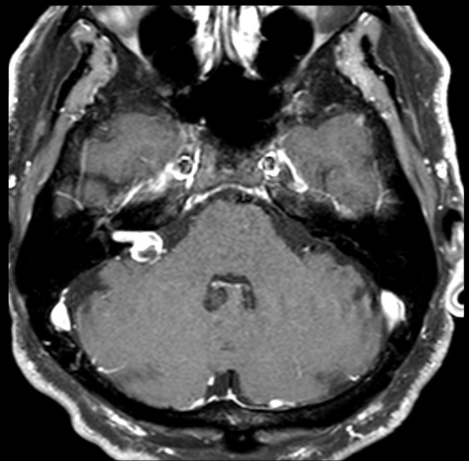
An elderly male presented with symptoms of vertigo. What is the most likely imaging finding?
Newsletter
Stay at the forefront of radiology with the Diagnostic Imaging newsletter, delivering the latest news, clinical insights, and imaging advancements for today’s radiologists.
Advertisement
Latest CME
Advertisement
Advertisement

































