
What New Research Reveals About Novice Use of AI-Guided Cardiac Ultrasound
In a study recently presented at the American College of Cardiology (ACC) conference, researchers found that novice use of AI-guided cardiac ultrasound after an AI-enabled electrocardiogram increased the positive predictive value for reduced left ventricular ejection fraction (LVEF) or aortic valve stenosis by 33 percent.
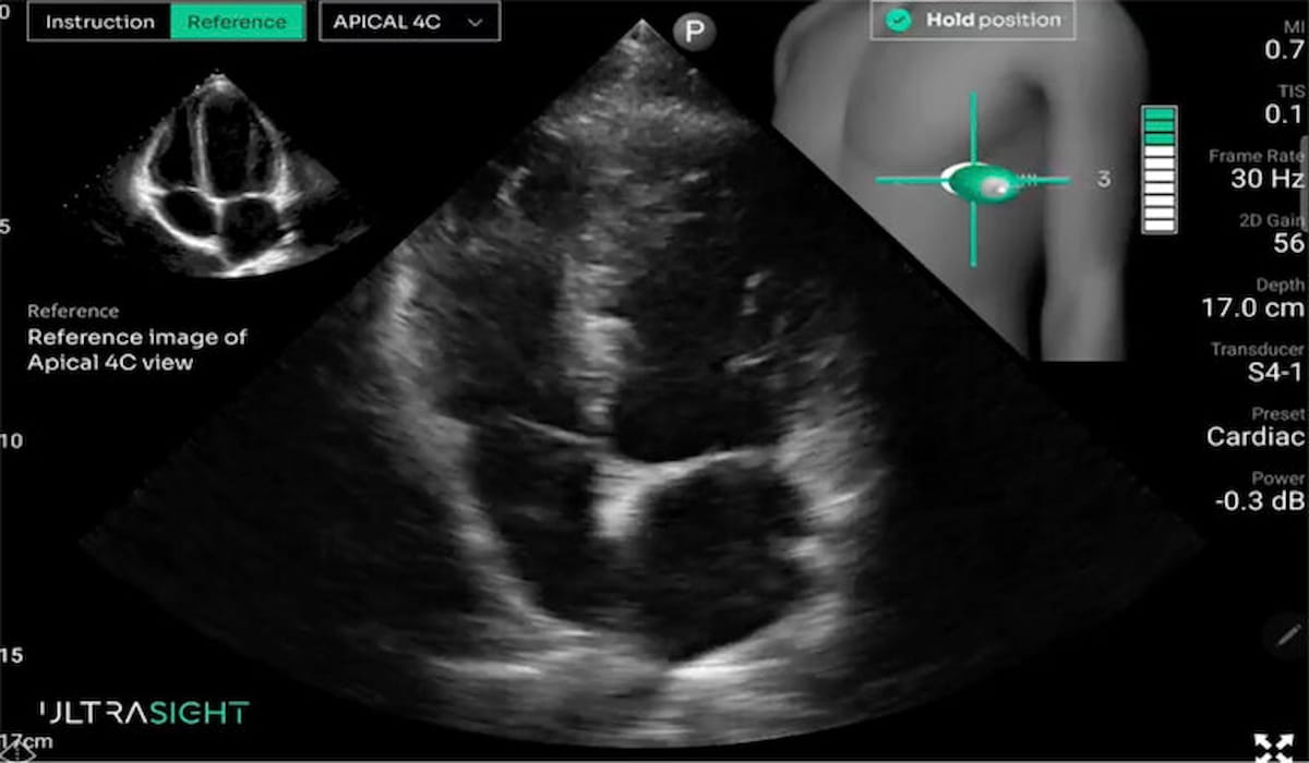
New research suggests that novice use of artificial intelligence (AI)-guided focused cardiac ultrasound (FOCUS) could significantly bolster the detection of reduced left ventricular ejection fraction (LVEF) or aortic valve stenosis (AS) beyond the capability of AI-enabled electrocardiography (AI-ECG).
In a new prospective study presented at the recent American College of Cardiology (ACC) conference, researchers assessed novice use of focused cardiac ultrasound (Lumify, Philips) guided by AI software (UltraSight) in 248 patients (median age of 63) who also had an AI-enabled electrocardiogram.
While AI-ECG demonstrated a 58 percent positive predictive value (PPV) and an 85 percent negative predictive value (NPV), the study authors said novice use of the AI-guided FOCUS platform provided a 91 percent PPV and a 96 percent NPV.
“The addition of AI-guided FOCUS acquired by novice scanners without imaging or clinical experience is a potential cost-effective method for screening populations at risk for structural heart disease,” noted lead study author Jordan Borgeson, M.D., who is affiliated with the Department of Cardiovascular Medicine at the Mayo Clinic in Rochester, Minn., and colleagues.
If the cohort had been limited to cases of abnormal findings with AI-ECG, the researchers noted the addition of novice FOCUS scans would have doubled the PPV from 48 percent to 96 percent.
“Our research demonstrates that machine learning-guided ultrasound technology enables even novice users to accurately identify structural heart disease and early-stage heart failure,” said study co-author Jared G. Bird, M.D., a cardiologist at the Mayo Clinic. “Innovation in this space has the potential to significantly enhance early cardiovascular screening and make diagnostic imaging more accessible and cost-effective nationwide.”
(Editor’s note: For related content, see “
Reference
1. Borgeson J, Kane CJ, Greason C, et al. Screening for structural heart disease: integration of an AI-ECG and novice-acquired focused ultrasound scan. Presented at the American College of Cardiology (ACC) conference, March 29-31, 2025, Chicago. Available at:
Newsletter
Stay at the forefront of radiology with the Diagnostic Imaging newsletter, delivering the latest news, clinical insights, and imaging advancements for today’s radiologists.

































