A new 3D, fast spin-echo MR sequence at 3T could one day help musculoskeletal radiologists perform a comprehensive evaluation of articular cartilage of the knee in only five minutes, according to researchers from Wisconsin and California.
A new 3D, fast spin-echo MR sequence at 3T could one day help musculoskeletal radiologists perform a comprehensive evaluation of articular cartilage of the knee in only five minutes, according to researchers from Wisconsin and California.
More than 20 million people suffer from osteoarthritis, which is second only to cardiovascular disease as the leading cause of disability in the U.S. Accurate articular cartilage imaging is key to assessing the efficacy of treatment with drugs or surgical repair, and MR remains the most accurate noninvasive exam.
Standard imaging protocols used in clinical practice for assessment of knee cartilage volumes and derangement include a combination of 2D FSE and high-resolution 3D spoiled gradient-echo (SPGR) sequences. Both, however, are stymied by image resolution limitations and long imaging times.
A single isotropic FSE sequence would be ideal for clinical, longitudinal studies of osteoarthritis, said principal investigator Dr. Richard Kijowski, an MSK radiologist at the University of Wisconsin-Madison.
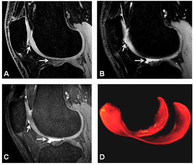
Kijowski and colleagues at UWM and Stanford University compared the new 3D fast spin-echo (FSE-Cube) sequence with a routine knee MRI protocol for evaluation of cartilage, ligaments, menisci, and osseous structures of the knee joint. The investigators enrolled 100 consecutive patients who underwent all MR scanning protocols at 3T using arthrography as the gold standard.
The researchers found that FSE-Cube provided volume measurements of the femoral, tibial, and patellar cartilage that led to detection of collateral ligament injuries and bone marrow edema lesions. FSE-Cube findings were just as diagnostically useful as those provided by the routine knee MRI protocol. The differences were not statistically significant. Kijowski released the group's findings at the 2008 RSNA meeting.
"FSE-Cube is an intermediate-weighted sequence with maximized signal-to-noise ratio efficiency, minimal blurring, and good fat suppression," Kijowski said. "It has similar diagnostic performance as a routine knee MRI protocol for evaluating the cartilage, ligaments, menisci, and osseous structures of the knee joint at 3T."

Stay at the forefront of radiology with the Diagnostic Imaging newsletter, delivering the latest news, clinical insights, and imaging advancements for today’s radiologists.