
Adolescent male presented with complaint of pain in the left hip, which is relieved by analgesics.

Adolescent male presented with complaint of pain in the left hip, which is relieved by analgesics.

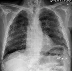
A construction worker presents with a dry cough, can you diagnose this patient?

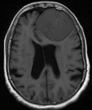
35-year-old female with prior history of breast carcinoma presented with frontal headaches.

Male child of normal intelligence sent for skeletal survey for coarse facial features, short stature and spinal deformity.

Published: July 24th 2014 | Updated:

Published: July 31st 2014 | Updated:

Published: July 1st 2021 | Updated:

Published: March 1st 2019 | Updated: