
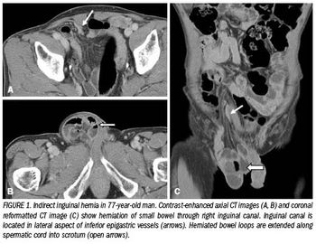
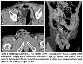
Although most hernias involving the anterior abdominal wall or groin can be diagnosed easily by inspection and palpation, imaging is the principal means of detecting internal, diaphragmatic, and other nonpalpable or unsuspected hernias.1,2

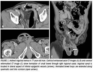
Although most hernias involving the anterior abdominal wall or groin can be diagnosed easily by inspection and palpation, imaging is the principal means of detecting internal, diaphragmatic, and other nonpalpable or unsuspected hernias.1,2

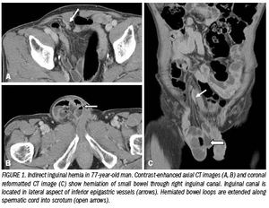
Although most hernias involving the anterior abdominal wall or groin can be diagnosed easily by inspection and palpation, imaging is the principal means of detecting internal, diaphragmatic, and other nonpalpable or unsuspected hernias.1,2

Published: April 8th 2010 | Updated:

Published: May 26th 2010 | Updated: