Image IQ: 44-year-old Woman, Screening MammogramByDuke Duncan, MDMay 8th 201544-year-old woman presents for screening mammogram.
Image IQ: 74-year-old, History of Aortic Valve RepairByDuke Duncan, MDApril 17th 201574-year-old with history of aortic valve repair at an outside hospital.
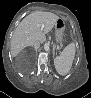
Image IQ: 85-year-old Male, History of Aortic Stenosis ByDuke Duncan, MDApril 2nd 201585-year-old male with history of aortic stenosis receiving contrast-enhanced CT for preoperative evaluation.
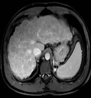
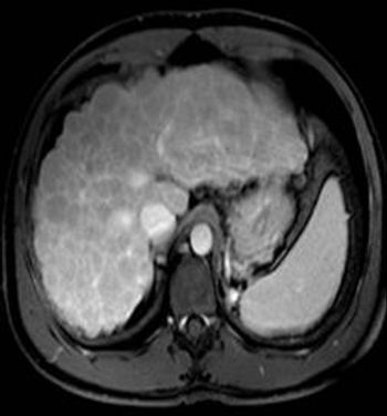
Image IQ: 67-year-old Male, Worsening Fatigue, JaundiceByDuke Duncan, MDFebruary 21st 201567-year-old male with history of worsening fatigue and jaundice.