
Gonzalo Pérez Odeh, MD
Advertisement
Articles by Gonzalo Pérez Odeh, MD

Advertisement
Latest Updated Articles
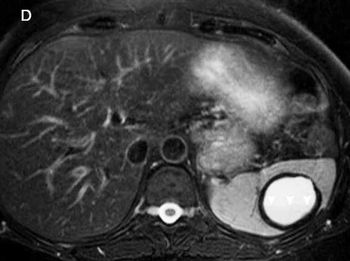
Splenic Hydatid DiseasePublished: April 5th 2013 | Updated:
Advertisement
Advertisement
Trending on Diagnostic Imaging
1
Assessing the Potential Impact in Radiology for GE HealthCare’s Acquisition of Intelerad
2
RSNA: CCTA Study Reveals Link Between Common Air Pollutants and Coronary Artery Stenosis
3
Mammography Study: Can Slab Reconstruction Technology Reinvent Efficiency with DBT?
4
Video: Could an Emerging MRI Contrast Agent Be a Viable Option for Pediatric Patients?
5

