
In a recent interview at SNMMI conference, Merle Hoenig, Ph.D., discussed new tau PET research examining genetic and modifiable risk factors that contribute to the progression of Alzheimer’s disease.
Senior Editor, Diagnostic Imaging

In a recent interview at SNMMI conference, Merle Hoenig, Ph.D., discussed new tau PET research examining genetic and modifiable risk factors that contribute to the progression of Alzheimer’s disease.

In addition to over 90 percent sensitivity in detecting hepatocellular carcinoma (HCC), the glypican-3 (GPC3) targeted PET tracer 68Ga-aGPC3-scFv appeared to be advantageous in identifying HCC tumors smaller than one centimeter, according to pilot study findings presented at the SNMMI conference.

The dual-targeted 177Lu-DOTA-FAPI-RGD reportedly reduced or stopped the growth of cancer lesions in 88.9 percent of advanced adenocarcinomas in a small cohort of patients with varied cancers including pulmonary, pancreatic and ovarian cancer, according to new research presented at the SNMMI conference.

While (68Ga)Ga-PSMA-11 offers a pooled sensitivity rate of 92 percent for prostate cancer, (18F)-based radiotracers may offer enhanced lesion detection as well as improved imaging flexibility, according to a meta-analysis presented at the Society for Nuclear Medicine and Molecular Imaging (SNMMI) conference.

Multimodal treatment monitoring, including SPECT/CT exams 24 hours after treatment with Lu-177 PSMA-617, may have facilitated significantly shorter therapy durations and reduced side effects in patients with mCRPC, according to a two-year study presented at the Society for Nuclear Medicine and Molecular Imaging (SNMMI) conference.

Emphasizing a zero-click experience, the updated LesionID Pro software, to be introduced at the SNMMI conference, reportedly provides AI-powered automated insights into whole-body tumor burden with PET and SPECT imaging.

The AI software reportedly facilitates ease of use and improved accuracy in fetal ultrasound evaluations.

In a study involving over 1,000 women with breast cancer, researchers found that patients with screening-detected breast cancer had a five-year survival rate of 94.4 percent in comparison to 79.6 percent for women with clinically detected breast cancer.

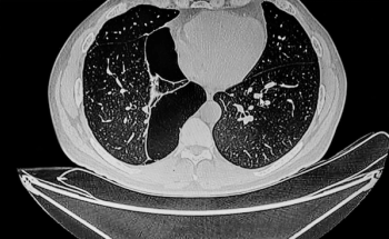
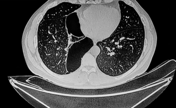
Emerging research shows that a multiple time-series deep learning model assessment of CT images provides 20 percent higher sensitivity than a delta radiomic model and 56 percent higher sensitivity than a clinical model for prognostic evaluation of ground-glass nodules.

A new report conveys the cumulative impact of ongoing challenges with radiologist residency positions, reimbursement, post-COVID-19 attrition rates and the aging of the population upon the persistent shortage of radiologists in the United States.

The 14th FDA-cleared AI software embedded in the Exo Iris ultrasound device reportedly enables automated detection of key pulmonary findings that may facilitate detection of pneumonia and tuberculosis in seconds.

For people with mild cognitive impairment (MCI), new research suggests that a combination of amyloid-positive and tau-positive PET findings is linked to a nearly 70 percent risk of progressing to dementia in five years in comparison to an approximate 30 percent risk for those with amyloid β positive and tau-negative PET.

While the addition of contrast-enhanced mammography (CEM) to digital breast tomosynthesis (DBT) led to over a 13 percent increase in false positive cases, researchers also noted over double the cancer yield per 1,000 women in comparison to DBT alone.

Offering a combination of intuitive touchscreen controls and enhanced image clarity, the portable Flash 5100 POC ultrasound platform reportedly facilitates confident and rapid assessment in emergency radiology and critical care settings.

In a meta-analysis involving over 2,200 patients with T1NoMo papillary thyroid carcinoma, researchers noted 2 percent recurrence and no cases of lymph node metastasis five years after ultrasound-guided thermal ablation.

The use of adjunctive AI in biparametric prostate MRI exams led to 3.3 percent and 3.4 percent increases in the AUC and specificity, respectively, for clinically significant prostate cancer (csPCa) in a 360-person cohort drawn from 53 facilities.

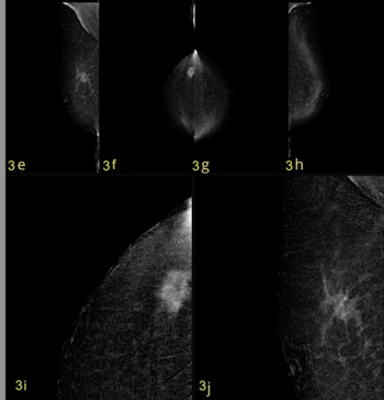
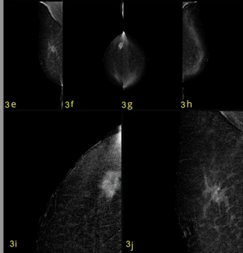
New research showed a 96 to 97 percent sensitivity for contrast-enhanced mammography (CEM) with an increased iodine delivery rate facilitating robust contrast enhancement for women with aggressive breast cancer.

For patients with gastric cancer, (68Ga)Ga-FAPI-04 PET offered double the sensitivity for lymph node metastases in comparison to (18F)FDG PET.

The AI-powered Viz Subdural Plus reportedly provides automated measurements and labeling of subdural collections, including subdural hemorrhages (SDHs), based on non-contrast CT scans.

Researchers also noted a greater than 30 percent increase in treatment management changes resulting from the use of CT-based adjunctive AI to detect lung metastases in colorectal cancer patients.

Currently being evaluated in a phase 2b clinical trial, the 18F-RAD101 PET imaging agent garnered the FDA’s fast track designation for distinguishing between recurrent disease and treatment impact for brain metastases derived from solid tumors.

Offering an extended shelf life, the FDA-approved Gozellix, a preparation kit for gallium-68 (68Ga) gozetotide injection, is indicated for use in PSMA PET imaging of prostate cancer patients with suspected recurrence or metastasis.

Emerging research suggests the use of computed tomography colonography (CTC) in colorectal cancer screening may provide significantly higher preventive benefit at lower costs in comparison to multitarget stool DNA testing.

In a recent interview, Sherry Shen, M.D., discussed the potential impact of FES PET recently being recommended by the National Comprehensive Cancer Network (NCCN) Guidelines for the staging of recurrent or metastatic estrogen receptor-positive (ER+) lobular breast cancer.

Through AI assessment of chest CT scans, the SeleCT Screening may help identify candidates for bronchoscopic lung volume reduction to improve lung function.

In a new literature review, researchers discussed key considerations with the use of B-mode ultrasound and contrast-enhanced ultrasound in the detection of hepatocellular carcinoma.

In a recent interview, Samir Abboud, M.D., discussed new research examining the impact of generative AI in maximizing efficiency and reducing the time-consuming nature of radiology reporting.

An alternative to an open neurosurgical approach, the Visualase V2 MRI-Guided Laser Ablation System reportedly utilizes laser interstitial thermal therapy (LITT) for targeted soft tissue ablation in patients with brain tumors and focal epilepsy.

Emerging research showed that AI-generated ADC mapping from MRI led to significant increases in accuracy, PPV and specificity in comparison to conventional ADC mapping while achieving a 93 percent sensitivity for PCa.

A partial response rate to neoadjuvant chemotherapy on mid-treatment MRI preceded a higher pathologic complete response (pCR) in 61.5 percent of women with triple-negative breast cancer, according to research presented at the American Society of Clinical Oncology (ASCO) conference.