
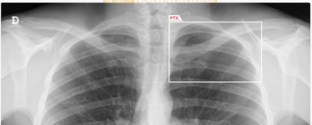
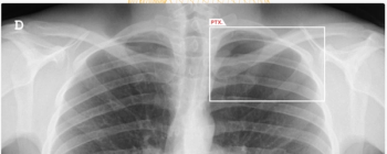
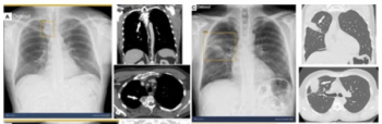
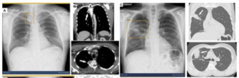
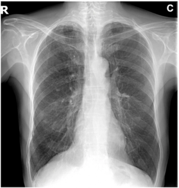
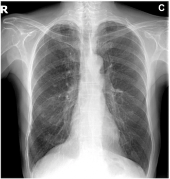
The AI-powered AZchest CXR software reportedly offers 93.79 percent sensitivity and a 98.57 percent AUC for pneumothorax.
Senior Editor, Diagnostic Imaging

The AI-powered AZchest CXR software reportedly offers 93.79 percent sensitivity and a 98.57 percent AUC for pneumothorax.

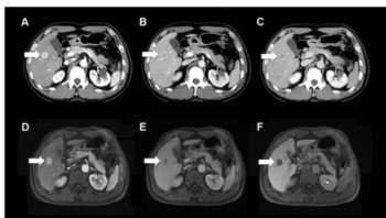
LI-RADS category 5 (LR-5) assessment had an 11 percent higher AUC for detecting hepatocellular carcinoma (HCC) in patients with non-cirrhotic chronic hepatitis C (CHC) in comparison to those with cirrhotic CHC.

For patients with no-option chronic limb-threatening ischemia (CLTI), transcatheter arterialization provided over a 25 percent higher amputation-free survival rate over standard medical management at one year, according to research presented at the Society of Interventional Radiology (SIR) Annual Scientific Meeting.

Recent research demonstrated a 59 percent reduced risk of progression or death with the radioligand therapy Pluvicto in comparison to a change of androgen receptor pathway inhibitor (ARPI) for patients with metastatic castration-resistant prostate cancer (mCRPC).

Artificial intelligence (AI)-powered measurement capabilities provide key features with the Compact Ultrasound 5500CV device, which was unveiled at the American College of Cardiology (ACC) conference.

The positron emission tomography myocardial perfusion imaging (PET MPI) agent, which offers a significantly higher half-life than other cardiac PET agents, was recently granted pass-through payment status by CMS that will go into effect on April 1, 2025.

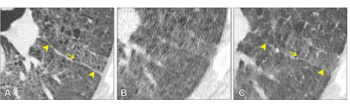
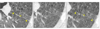
The cLung-RADS v2022 model offered a greater than 16 percent increase in the AUC in comparison to Lung-RADS 1.0 and Lung-RADS v2022 systems for predicting the invasiveness of pure ground-glass nodules.

In addition to a variety of tools to promote radiology workflow efficiencies, the integration of the Gravity AI tools into the PowerServer RIS platform may reduce time-consuming prior authorizations to minutes for completion.

Adjunctive use of the AI-powered software led to an average 38.6 percent increase in the detection of pneumothorax by general radiologists, according to a 2023 study.

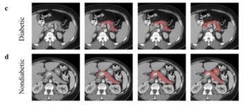
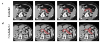
Attenuation-based biomarkers on computed tomography (CT) scans demonstrated a 93 percent interclass correlation coefficient (ICC) agreement across three pancreatic segmentation algorithms for predicting diabetes, according to a study involving over 9,700 patients.

Microultrasonography-guided biopsy offered comparable detection as MRI/conventional ultrasound-guided biopsy in detection of Gleason grade group 2 or higher prostate cancer, according to a new international multicenter study.

Photon-counting CT fat fraction evaluation offered a maximum sensitivity of 81 percent for detecting steatosis and had a 91 percent ICC agreement with MRI proton density fat fraction assessment, according to new prospective research.

Indicated for use in cases involving suspected metastasis with PCa or suspected PCa recurrence due to elevated PSA level, Gozellix reportedly has a longer shelf life than other gallium-based PET imaging products.

The Kaiser score offers 24 percent higher pooled specificity than the Breast Imaging Reporting and Data System (BI-RADS) for detecting malignancies on breast MRI, according to a 29-study meta-analysis.

The Invenia ABUS Premium device reportedly offers consistent high-resolution imaging and up to a 40 percent increase in scan speeds for women with dense breasts.

While recalls initiated by one of two reviewing radiologists after screening mammography were nearly 10 percent higher than recalls initiated by an AI software, the AI-initiated recalls had an 85 percent higher positive predictive value for breast cancer, according to a new study.

In a new podcast, Satoshi Minoshima, M.D., Ph.D., and James Williams, Ph.D., share their insights on the recently updated appropriate use criteria for amyloid PET and tau PET in patients with mild cognitive impairment.
Indicated for IV use, Gvoke VialDx reportedly inhibits movement of the gastrointestinal tract temporarily to facilitate abdominal X-rays.

New updates for the cardiac PET-based HeartSee v4.0 software include an emphasis on the evaluation of subendocardial ischemia and border zones.

While DCE MRI was deemed helpful in over 67 percent of cases in which it was used, researchers found that monitored prostate MRI exams, which facilitated a 75 percent reduction of DCE MRI sequences, had comparable sensitivity for prostate cancer as non-monitored exams.

For immunocompromised individuals, denoised ultra-low-dose CT offers similar detail as normal-dose CT scans for pneumonia detection, according to a recent study.

Researchers found that a higher waist-to-hip ratio in midlife was associated with higher mean diffusivity in 26 percent of total white matter tracts in the cingulum as well as the superior and inferior longitudinal fasciculus.

Emphasizing intuitive workflow and portability, the Universal Wireless Probe reportedly offers a cost-effective combination of phased and linear ultrasound imaging.

Researchers found that use of 68Ga-FAPI PET was associated with pooled sensitivity of 90 percent for ovarian cancer, according to a recent meta-analysis.

Enabling radiographic and low-dose fluoroscopy exams in the same room, the Adora DRFi system emphasizes a variety of advances for flexibility with patient positioning.

In addition to a significant reduction of X-ray reading time, researchers found the use of multimodal generative AI assessment led to enhanced detection of pleural lesions and widened mediastinal silhouettes.

Multicenter research revealed that a combined model of clinical factors and ultrasound-based radiomics exhibited greater than a 23 percent higher per patient-level accuracy rate for identifying HER2 breast cancer than a clinical model.

Through AI-powered assessment of coronary computed tomography angiography (CCTA) scans, the CaRi-Plaque software may provide improved clarity on the development of coronary plaques and luminal stenosis.

Researchers noted the combination of AI and bpMRI had an average AUC of 91 percent for csPCa detection in contrast to 78 percent for unassisted radiologist interpretation in a recent meta-analysis.

The Naeotom Alpha class of photon-counting computed tomography (PCCT) scanners emphasize significantly reduced scan times and enhanced detection of small abnormalities.