
Developed by 21 thoracic radiologists, the new international consensus statement addresses appropriate indications, scan acquisition and keys to reporting for the use of chest CT imaging in evaluating for residual lung abnormalities from COVID-19.
Senior Editor, Diagnostic Imaging

Developed by 21 thoracic radiologists, the new international consensus statement addresses appropriate indications, scan acquisition and keys to reporting for the use of chest CT imaging in evaluating for residual lung abnormalities from COVID-19.

In a prospective study involving nearly 100 patients with Long Covid, 57 percent of patients had PET/MRI abnormalities and 90 percent of the cohort had abnormalities on dual-energy CT scans.

In the first of a multi-part podcast episode, Emanuel Kanal, MD and Tobias Gilk share their insights and perspectives on remote MRI safety.

Offering ergonomic controls and AI-enabled features, the remote-controlled Luminos Q.namix R system and the Luminos Q.namix T platform with tableside control reportedly facilitate workflow efficiencies for complex radiography and fluoroscopy examinations.

The dose length product (DLP) for the flash mode on a dual-source photon-counting CT system was less than a third of that for the spiral mode, according to a study of CTA findings for 1,000 patients presented at the Society of Cardiovascular Computed Tomography (SCCT) conference.

In the first of a multi-part podcast episode, Stamatia Destounis, MD, Emily Conant, MD and Habib Rahbar, MD, share their insights on the role of abbreviated breast MRI in breast screening.

The use of adjunctive bpMRI-based AI led to 10 percent and greater increases in lesion-level PPV for csPCa and PCa with a threshold of PI-RADS > 3.

In a recent interview, Amir Ahmadi, M.D., discussed limitations of conventional diagnostic assessments for people with suspected coronary artery disease, and the emergence of AI-enabled plaque quantification to facilitate more timely detection and intervention.

The dual FDA clearances for the Accuro 3S point-of-care ultrasound device and the SpineNav-AI machine learning-based software may enhance precision and safety with ultrasound-guided neuraxial procedures.

Noting a 7.4 percent incidence of motion artifacts on brain MRI scans for suspected stroke patients, the authors of a new study found that motion artifacts can reduce radiologist and AI accuracy for detecting hemorrhagic lesions.

In external validation findings from a 29-study meta-analysis, MRI-based AI had a pooled AUC of 85 percent for preoperative prediction for microvascular invasion in patients with hepatocellular carcinoma.

A fully convolutional data description (FCDD) model for identifying anomalies on breast MRI demonstrated an 84 percent AUC for detection tasks in a balanced cohort with a 20 percent malignancy prevalence and a 72 percent AUC for detection tasks in an imbalanced group with a 1.85 percent cancer prevalence.

A cloud-based and AI-native radiology operating system, MosaicOS reportedly enables the combination of diagnostic AI tools and workflow enhancements into one scalable platform.

The updated capabilities of SwiftMR include personalized scan settings within the software, artifact reduction and cloud integration.

Emerging research revealed significantly enhanced sensitivity for prostate cancer detection with adjunctive and stand-alone use of AI.

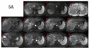
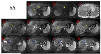
For patients with unresectable hepatocellular carcinoma, a pre-treatment MRI finding of LI-RADS tumor in vein was associated with over an 86 percent lower likelihood of responding to transcatheter arterial chemoembolization (TACE) and targeted immunotherapy.

For patients who had coronary CTA for acute chest pain, emerging research found no significant association between plaque burden grades with CAD-RADS 2.0 and cardiac events.

EchoGo Amyloidosis, an echocardiography-based AI screening software, demonstrated a 93 percent AUROC for cardiac amyloidosis detection in a new multicenter study.

For pediatric patients with congenital heart disease, new research showed that cardiac PCCT yielded comparable signal-to-noise and contrast-to-noise ratios to energy-integrating detector CT at over a 43 percent lower dose length product.

Currently in a phase I trial for solid prostate cancer tumors, the deoxycytidine kinase inhibitor TRE-515 garnered the fast track designation for possible combination use with Pluvicto in treating mCRPC.

In a new study comparing standard resolution and ultra-high resolution modes for patients undergoing coronary CTA with photon-counting detector CT, researchers found that segment-level sensitivity and accuracy rates for diagnosing coronary artery stenosis were consistently > 89.6 percent.

For patients with advanced Parkinson’s disease, the expanded FDA approval of the Exablate Neuro platform allows for the use of MRI-guided focused ultrasound in performing staged bilateral pallidothalamic tractotomy.

Findings from the TRAILBLAZER-ALZ 6 study revealed a 41 percent reduction of the ARIA-E side effect at 24 weeks with the new dosing schedule for the anti-amyloid treatment donanemab-azbt.

The HCPCS level II code A9616 goes into effect on October 1 for the PSMA PET preparation kit, which received FDA approval in March.

For patients with amyloid β (Aβ)-positive findings on positron emission tomography, higher educational attainment was associated with accelerated accumulation and spread of tau, according to new research.

While noting no differences in sensitivity, specificity or reading time with adjunctive AI for mammography screening, the authors of a new study noted a 4 percent higher AUC and increased fixation time on lesion regions.

The use of SIR-Spheres achieved a 98.5 percent overall response rate in the treatment of hepatocellular carcinoma in a recent prospective multicenter trial.

In a recent interview at the SNMMI conference, Ryota Satoh, Ph.D., discussed new positron emission tomography (PET research examining the role of neuroinflammation in differentiating between progressive apraxia of speech (PAOS) and Parkinson-plus syndrome.

In external testing, a model combining radiological complete response on breast MRI, nodal status and Ki-67 proliferation index yielded an 88 percent AUC for predicting pathologic complete response to neoadjuvant chemoimmunotherapy for patients with triple-negative breast cancer, according to new research.

Preoperative use of contrast-enhanced cone-beam breast CT has over a 96 percent sensitivity for predicting nipple-areolar complex involvement in cases involving early-stage breast cancer, according to a new study.