
While a CT-based deep learning model demonstrated a 91 percent AUC for predicting lung cancer risk within one year, researchers noted other mixed results in a new study involving over 18,000 individuals.
Senior Editor, Diagnostic Imaging

While a CT-based deep learning model demonstrated a 91 percent AUC for predicting lung cancer risk within one year, researchers noted other mixed results in a new study involving over 18,000 individuals.

Combining sub-second load times and AI-automated features, the PET/CT Viewer Mode and Mammography Viewer Mode may help address bottlenecks in nuclear medicine imaging and mammography workflows.

Offering an 87 percent sensitivity for clinically significant prostate cancer (csPCa), the deep learning model demonstrated an 86 percent AUC for predicting > PI-RADS 3 lesions on prostate MRI.

In a recent interview, Amy Patel, M.D., discussed new research findings that revealed a 45 percent higher likelihood of mammography screening among women with Medicaid in Missouri due to expanded mammography coverage in the state.

The multimodality remote scanning modality uOmniscan and the recently FDA-cleared 3T uMR Ultra MRI system were unveiled at the Association for Medical Imaging Management (AHRA) conference in Las Vegas.

In the last of a three-part podcast episode, Stamatia Destounis, MD, Emily Conant, MD and Habib Rahbar, MD, share additional insights on practical considerations and potential challenges in integrating abbreviated breast MRI into clinical practice, and offer their thoughts on future research directions.

Mammography detected 82 percent of pregnancy-associated breast cancer in a cohort of women with a high prevalence of extremely dense breasts, according to a new study.

In the third of a three-part podcast episode, Emanuel Kanal, M.D. and Tobias Gilk, MRSO, MRSE, discuss strategies for maintaining the integrity of time-out procedures and communication with remote MRI scanning.

An analysis of over 749,000 Medicare beneficiaries diagnosed with prostate cancer over a five-year period found that Black men were 13 percent less likely to receive PET imaging and 16 percent less likely to receive MRI in comparison to White men.

In a recent interview, Jamie Williams, M.D., discussed newly published research findings revealing the impact of high-resolution digital breast tomosynthesis (DBT) on breast cancer detection and recall rates.

The addition of two new AI-enabled models for the latest version of the NeuroQuant Brain Tumor software facilitates automated tracking of the progression of brain tumors and meningiomas.

In a retrospective review of screening digital breast tomosynthesis (DBT) exams for over 200 women with interval breast cancers, researchers found that AI provided accurate localization of cancers in 32.6 percent of the cases.

Computed tomography colonography (CTC) demonstrated a 91.6 percent positive predictive value (PPV) for polyps > 6 mm, according to new research involving over 9,000 patients who underwent CTC for primary asymptomatic colorectal cancer screening.

In a recent interview, Matt Covington, M.D., discussed challenges with the development of radioligand therapies for breast cancer and the potential of emerging radioligand agents to augment current treatment options in this patient population.

In the second of a multi-part podcast episode, Emanuel Kanal, M.D. and Tobias Gilk, MRSO, MRSE, share their perspectives on remote MRI safety protocols for ensuring screening accuracy and adherence to conditional implant guidelines as well as a rapid and effective response to adverse events.

The newly launched Definium Pace Select ET X-ray platform reportedly provides increased automation and advanced image processing.

State law changes expanding screening mammography coverage from biennial to annual exams and to women 40 years of age in 2019 also led to a 5 percent higher likelihood of screening for Missouri women with commercial health insurance.

Offering a minimum scan depth of 4 mm, the UHF46-20 Transducer reportedly provides high-quality resolution for visualizing superficial nerves and vessels.

In the second part of a multi-part podcast episode, Stamatia Destounis, MD, Emily Conant, MD and Habib Rahbar, MD, discuss key sequences for abbreviated breast MRI and how it stacks up to other breast cancer screening modalities.

Advanced annotation with the updated UroNav MRI/ultrasound fusion platform may facilitate enhanced precision and efficiency with focal therapies for prostate cancer.

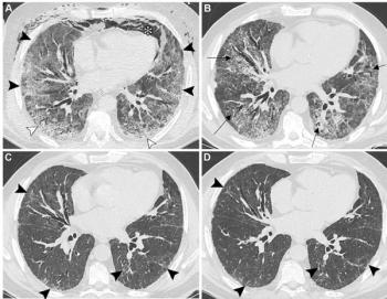
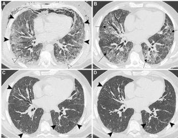
Developed by 21 thoracic radiologists, the new international consensus statement addresses appropriate indications, scan acquisition and keys to reporting for the use of chest CT imaging in evaluating for residual lung abnormalities from COVID-19.

In a prospective study involving nearly 100 patients with Long Covid, 57 percent of patients had PET/MRI abnormalities and 90 percent of the cohort had abnormalities on dual-energy CT scans.

In the first of a multi-part podcast episode, Emanuel Kanal, MD and Tobias Gilk share their insights and perspectives on remote MRI safety.

Offering ergonomic controls and AI-enabled features, the remote-controlled Luminos Q.namix R system and the Luminos Q.namix T platform with tableside control reportedly facilitate workflow efficiencies for complex radiography and fluoroscopy examinations.

The dose length product (DLP) for the flash mode on a dual-source photon-counting CT system was less than a third of that for the spiral mode, according to a study of CTA findings for 1,000 patients presented at the Society of Cardiovascular Computed Tomography (SCCT) conference.

In the first of a multi-part podcast episode, Stamatia Destounis, MD, Emily Conant, MD and Habib Rahbar, MD, share their insights on the role of abbreviated breast MRI in breast screening.

The use of adjunctive bpMRI-based AI led to 10 percent and greater increases in lesion-level PPV for csPCa and PCa with a threshold of PI-RADS > 3.

In a recent interview, Amir Ahmadi, M.D., discussed limitations of conventional diagnostic assessments for people with suspected coronary artery disease, and the emergence of AI-enabled plaque quantification to facilitate more timely detection and intervention.

The dual FDA clearances for the Accuro 3S point-of-care ultrasound device and the SpineNav-AI machine learning-based software may enhance precision and safety with ultrasound-guided neuraxial procedures.

Noting a 7.4 percent incidence of motion artifacts on brain MRI scans for suspected stroke patients, the authors of a new study found that motion artifacts can reduce radiologist and AI accuracy for detecting hemorrhagic lesions.