Articles by Kristen Minogue

Out of every 10 women whose mammogram or physical exam reveals potentially cancerous cells in their breasts, approximately three of them will have additional dangerous clusters the examinations missed, according to a recent study presented at the RSNA conference Wednesday.

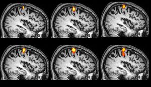
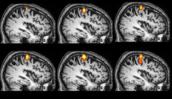
For victims of psychological trauma, the challenge of suppressing painful memories may be rooted in the wiring of the brain, an ongoing study revealed at the RSNA conference Wednesday.

With the help of new robotic training, victims of stroke may be able to extend the narrow six-month window to regain their mobility, according to a recent study presented at the RSNA conference Wednesday.

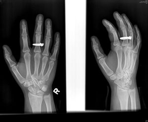
A new kind of self-mutilation is creeping into the teenage population, one that involves inserting objects into the body, according to radiologist Dr. William E. Shiels, II, who presented the first study of the adolescent phenomenon at the RSNA conference Wednesday.