
Mario Zérega Ruiz, MD
Advertisement
Articles by Mario Zérega Ruiz, MD

Advertisement
Latest Updated Articles
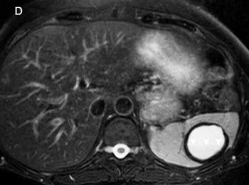
Splenic Hydatid DiseasePublished: April 5th 2013 | Updated:
Advertisement
Advertisement
Trending on Diagnostic Imaging
1
New Imaging Platform Allows Single-Integration Access to Multiple AI Vendors
2
Can Contrast-Enhanced Mammography Offer a Viable Option for Pre-Op Assessment of Pathologic Nipple Involvement?
3
Fujifilm Sonosite Unveils Next-Generation Point-of-Care Ultrasound Device
4
A Closer Look at New Guidelines for Molecular Imaging of Renal Masses: An Interview with Steven Rowe, MD, Part 1
5

