News
All NewsBlogs
Media
Around the Practice Between the LinesImage IQMedical World NewsPodcastsRad-ViewVideos
Conferences
Conference CoverageConference Listing
DI Executive
More
Resources
CME/CEE-booksEducationInteractive Tool KitsPartnersSponsored

Subscribe

  • News
  • Media
  • Conferences
  • DI Executive
  • Resources
  • Subscribe
  • AI
    • Technology
  • CT
    • Neurology CT
    • Cardiac CT
    • Women's Health CT
    • Oncology CT
  • Facility Management
    • Technology
  • MRI
    • Neurology MRI
    • Oncology MRI
    • Women's Health MRI
    • Cardiac MRI
  • Mammography
  • Molecular Imaging
  • Ultrasound
    • Women's Health Ultrasound
    • Oncology Ultrasound
    • Cardiac Ultrasound
  • X-Ray
    • Orthopedic X-Ray
Spotlight -
RSNA|
Disease Spotlight: Prostate Cancer|
Rad-View: Generic Contrast Agents |
Rad View: PSMA PET Imaging Recommendations|
Unlock AI-Powered Imaging|
Image IQ Quiz
Advertisement

Mohammad Osama Yonso, M.D.

Advertisement

Articles by Mohammad Osama Yonso, M.D.

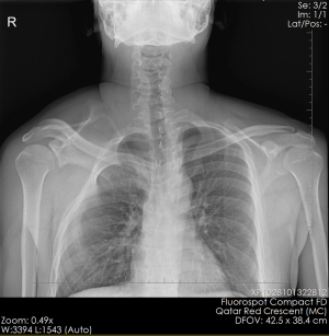
Image IQ Quiz: Patient Presents for an Evaluation of Scoliosis

ByMohammad Osama Yonso, M.D.
March 4th 2021

What is your diagnosis in this patient who presents for evaluation of scoliosis?

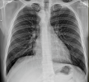
Image IQ Quiz: Asymptomatic Patient Presents with Respiratory Symptoms

ByMohammad Osama Yonso, M.D.
February 23rd 2021

What is your diagnosis on this patient who got a CXR to rule out pneumonia?

Advertisement

Latest Updated Articles

  • Image IQ Quiz: Patient Presents for an Evaluation of Scoliosis
    Image IQ Quiz: Patient Presents for an Evaluation of Scoliosis

    Published: March 4th 2021 | Updated:

  • Image IQ Quiz: Asymptomatic Patient Presents with Respiratory Symptoms
    Image IQ Quiz: Asymptomatic Patient Presents with Respiratory Symptoms

    Published: February 23rd 2021 | Updated:



Advertisement
Advertisement

Trending on Diagnostic Imaging

1

Assessing the Potential Impact in Radiology for GE HealthCare’s Acquisition of Intelerad

2

Mammography Study: Can Slab Reconstruction Technology Reinvent Efficiency with DBT?

3

RSNA: CCTA Study Reveals Link Between Common Air Pollutants and Coronary Artery Stenosis

4

RSNA: Ultrasound Study Reveals Vascular Complications Associated with Cosmetic Fillers

5

Video: Could an Emerging MRI Contrast Agent Be a Viable Option for Pediatric Patients?

  • Advertise
  • About
  • Contact Us
  • Editorial
  • Editorial Board
  • Do Not Sell My Personal Information
  • Privacy
  • Terms and Conditions
Contact Info

259 Prospect Plains Rd, Bldg H
Cranbury, NJ 08512

609-716-7777

Brand Logo

© 2025 MJH Life Sciences®

All rights reserved.

Home
About Us
News
Contact Us