
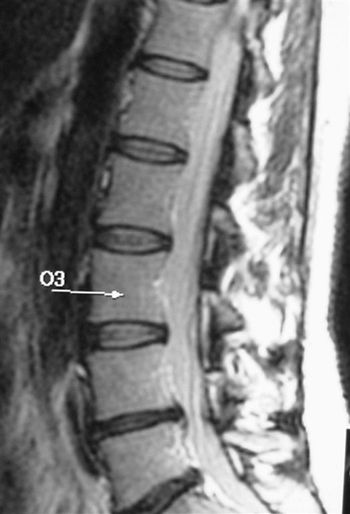
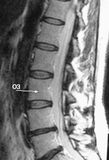
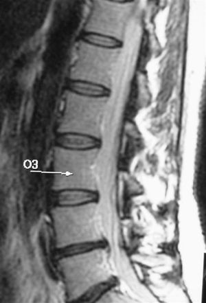
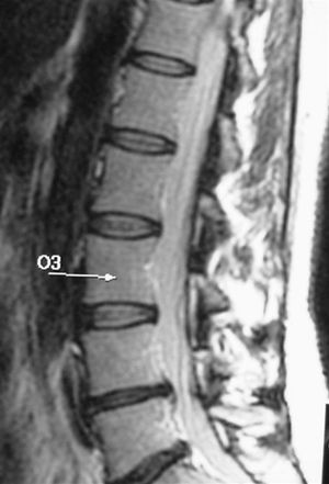
Results of a study by Greek researchers suggest that percutaneous disc decompression, a newly developed outpatient procedure for herniated vertebral discs, has better long-term effects than conservative therapy.

Results of a study by Greek researchers suggest that percutaneous disc decompression, a newly developed outpatient procedure for herniated vertebral discs, has better long-term effects than conservative therapy.

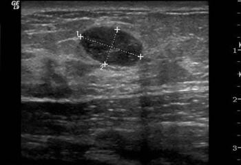
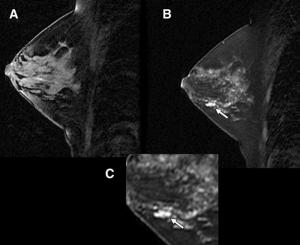
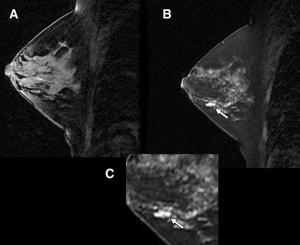
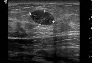
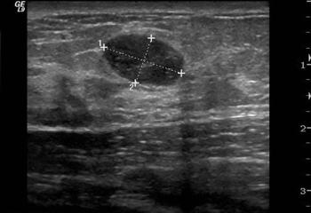
Breast cancer detection rates increase substantially when women at high risk and those with dense breasts undergo mammography and ultrasound annually, according to a study presented Wednesday at the 2009 RSNA meeting. MRI is an even more effective technique when used with mammography, but only for women who are at high risk for the condition.

Results of a study by Greek researchers suggest that percutaneous disc decompression, a newly developed outpatient procedure for herniated vertebral discs, has better long-term effects than conservative therapy. They released findings Wednesday at the 2009 RSNA meeting.

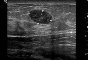
Targeted breast ultrasound is less invasive and expensive than biopsy, as well as reduces anxiety over breast cancer screening.

Published: February 11th 2010 | Updated:

Published: December 3rd 2009 | Updated:

Published: December 4th 2009 | Updated:

Published: December 3rd 2009 | Updated: