Image IQ Quiz: Patient Presents with Fibrous Dysplasia, Right Femur PainByVaibhav Khasgiwala, M.D.September 21st 2021A 34-year-old patient presents with right femur pain with a possible pathologic fracture and fibrous dysplasia.
Image IQ Quiz: 78-Year-Old With Chest PainByVaibhav Khasgiwala, M.D.September 14th 2021A 78-year-old patient presents with chest pain. Can you make the diagnosis?
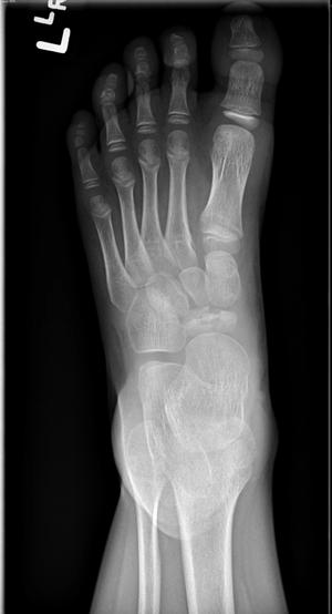
Image IQ Quiz: Pediatric Patient Presents with Foot FindingByVaibhav Khasgiwala, M.D.March 31st 2021What is your diagnosis for a pediatric patient who presents with findings on a foot radiograph?