What is the Best Use of AI in CT Lung Cancer Screening?

News
Article

In comparison to radiologist assessment, the use of AI to pre-screen patients with low-dose CT lung cancer screening provided a 12 percent reduction in mean interpretation time with a slight increase in specificity and a slight decrease in the recall rate, according to new research.

Emerging research suggests the most optimal use of artificial intelligence (AI) in low-dose computed tomography (LDCT) lung cancer screening is in pre-screening patients with radiologists only interpreting exams with positive AI findings.

For the retrospective study, recently published in the American Journal of Roentgenology, researchers reviewed data for 366 people (mean age of 64) who had LDCT as part of a prior prospective lung cancer screening trial from 2017. Employing the AI software LuCAS-Plus (Monitor Corporation), the study authors compared the use of AI as an adjunctive assistant, pre-screener (with radiologists reviewing exams only if they were flagged with positive AI findings) and backup (with radiologists reinterpreting LDCT exams in cases involving AI suggested a missed finding).

The use of AI software as a pre-screener was associated with the highest per-examination specificity (90.3 percent) and lowest recall rate (20.8 percent) in comparison to unassisted radiologist interpretation, use of AI as a backup and use of AI as an assistant, according to the study authors.

What is the Best Use of AI in CT Lung Cancer Screening?

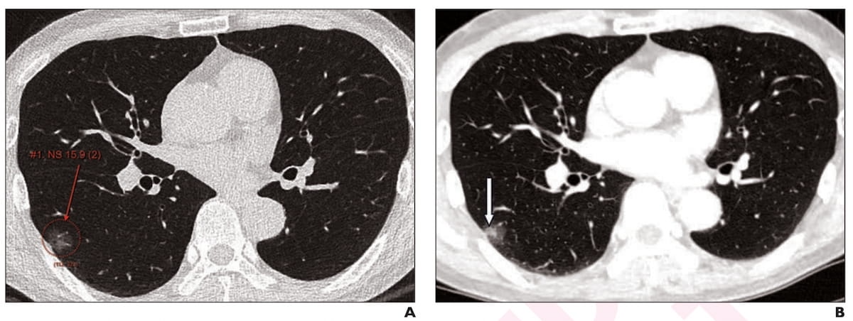
Here one can see axial low-dose CT imaging revealing a 16 mm subsolid nodule at initial screening (A) and subsequent growth of the solid component of the nodule at two years (B) in a 65-year-old male patient. The nodule was detected by standalone AI, adjunctive use of AI and unassisted radiologist assessment. (Images courtesy of the American Journal of Roentgenology.)

The researchers found that prescreening use of AI facilitated a significant lower mean interpretation time (143 seconds) in contrast to unassisted radiologist evaluation (164 seconds), AI assistance (161 seconds) and use of AI as a backup (225 seconds). The different AI uses also had comparable sensitivity rates (62.9 percent for prescreening AI, 64.8 percent for assistant AI and 66.4 percent for backup AI).

“ … The scenario of AI as a pre-screener would avoid radiologist interpretation in 15.3% of examinations. This scenario significantly decreased mean interpretation times without a significant difference in sensitivity for nodules classified as Lung-RADS category ≥3. The findings suggest that use of AI as a pre-screener could help reduce radiologists’ workload for lung nodule detection without compromising the sensitivity for clinically actionable nodules,” wrote lead study author Meesun Lee, M.D., who is affiliated with the Department of Radiology at Seoul National University Hospital in Seoul, Korea, and colleagues.

Three Key Takeaways

1. AI as a pre-screener optimizes workflow. Using AI to pre-screen low-dose CT (LDCT) scans — with radiologists only reviewing positive AI-flagged cases — led to the highest specificity (90.3 percent) and lowest recall rate (20.8 percent), suggesting better efficiency compared to other AI integration methods.

2. Reduced interpretation time without sensitivity loss. The pre-screening approach resulted in the shortest mean interpretation time (143 seconds) without significantly compromising sensitivity for detecting actionable lung nodules (Lung-RADS ≥3).

3. Greater net benefit and lower workload. Only the pre-screening AI model showed a higher net benefit over unaided radiologist review and reduced radiologists’ workload, making it a promising approach for lung cancer screening programs with low disease prevalence.

Emphasizing the challenges of higher recall rates with assistant AI and backup AI as well as the significantly higher mean interpretation time with backup AI, the study authors suggested that prescreening use of AI offers more promise in real-world lung cancer screening given the low prevalence of lung cancer.

“Only the scenario of AI as a pre-screener demonstrated a higher net benefit in comparison with radiologist interpretation without AI, whereas all other scenarios exhibited lower net benefits. These findings likely relate to the lack of identification of additional patients diagnosed with lung cancer and the significant increase in recall rate for all scenarios other than that of AI as a pre-screener,” noted Lee and colleagues.

(Editor’s note: For related content, see “Study with CT Data Suggests Women with PE Have More than Triple the One-Year Mortality Rate than Men,” “AI Denoising Bolsters Ultra-Low-Dose CT Detection of Pneumonia Findings in Immunocompromised Adults” and “FDA Clears AI-Powered Software for Lung Nodule Detection on Chest CT.”)

Beyond the inherent limitations of a single-center retrospective study, the authors acknowledged a small number of women in the cohort as well as a small number of patients diagnosed with lung cancer. The researchers also noted a lack of access to prior imaging and assessment of only one AI product.

Newsletter

Stay at the forefront of radiology with the Diagnostic Imaging newsletter, delivering the latest news, clinical insights, and imaging advancements for today’s radiologists.

Recent Videos
Current Insights on Interoperability, Enterprise Imaging and AI Integration in Radiology
A Closer Look at the Mammo Enhance Heart Program: An Interview with Arthy Saravanan, MD
Mammography Research: Can Adjunctive AI for DBT Provide Insight into Tumor Biology with Breast Cancer?
© 2025 MJH Life Sciences

All rights reserved.