
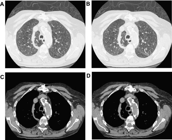
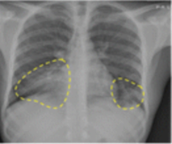
GE Healthcare Announces Moves to Bolster Supply of Iodinated Contrast Media for CT and X-Ray Imaging
A multi-year agreement with a large Chile-based supplier of raw iodine is part of GE Healthcare’s commitment to increase the production of iodinated contrast media, commonly used in computed tomography imaging, by 30 million annually in 2025.














































