
Juggling a physician’s perspective and a layperson’s view can be a tricky juxtaposition at times.

Juggling a physician’s perspective and a layperson’s view can be a tricky juxtaposition at times.

Catch up on the top radiology news of the past week.

Designed for use in hospitals and ambulatory surgical centers, the FDR Cross may help improve workflows and efficiency for image-guided procedures.

The new digital radiography series reportedly offers proprietary technologies that can preserve image quality and allow better control of X-ray dosage.

The study, involving 500 patients, showed that artificial intelligence (AI) assistance enhanced fracture diagnosis on radiographs and reduced reading time for radiologists of varying experience levels.

With an evenhanded perspective, this author looks at the challenges and frustrations for both sides of the IT help desk line in radiology.

Does excess boilerplate verbiage hamper the review of radiology reports by referring physicians?

Catch up on the top radiology news of the past week.

Recognizing the significant potential for workplace injuries in the radiology field, these authors discuss the proactive benefits of optimal positioning and disruptions of static posture as well as a heightened management awareness of ergonomic solutions and potential issues in maneuvering mobile imaging units.


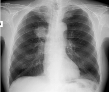
What is your diagnosis?

In a recent video interview, abdominal radiologist Sonia Gupta, MD discussed key principles in assessing potential alliances with artificial intelligence (AI) vendors and the potential of AI to alleviate the time-consuming, administrative aspects of patient care.

Catch up on the top radiology content of the past week.

Emerging research shows a 14.5 percent increase among African Americans getting screened for lung cancer, which may be attributable to the United States Preventive Services Taskforce (USPSTF) lowering the minimum screening age to 50 and decreasing the smoking intensity screening threshold from 30 pack years to 20 pack years in March 2021.

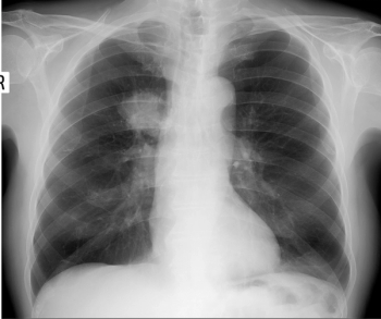
What is your diagnosis?

Whether it is humorous associations with common terminology, oddities on X-rays or decidedly uncomfortable imaging findings, this author shares a few chuckles from his experience.

In a recent video interview, interventional radiologist Lindsay Machan, MD, discussed his longtime work with selective salpingography and fallopian tube recanalization to assist women with infertility issues, and key findings from a new study that he recently presented at the Society of Interventional Radiology (SIR) conference.

Catch up on the top radiology content of the past week.

The new workload management system reportedly emphasizes predictive analytics to facilitate efficient workload distribution and increase reading capacity for radiologists.

Selective salpingography may provide enhanced assessment of fallopian tubes and fallopian tube recanalization could be a viable alternative to facilitate natural conception, according to new research from the Department of Radiology at the University of British Columbia.

Do we settle for oblique truths more often than not to mitigate potential repercussions?

Catch up on the top radiology content of the past week.

The resumed production of GE Healthcare’s Omnipaque products is a welcome development for radiologists scrambling to come up with alternative dosing and imaging options in the past month during the temporary shortage of iodinated contrast media.

What is your diagnosis?

Amid a bevy of questionable referrals for X-rays and computed tomography (CT) scans, an unwavering due diligence prevents skepticism from giving way to cynicism and a possible missed diagnosis.