
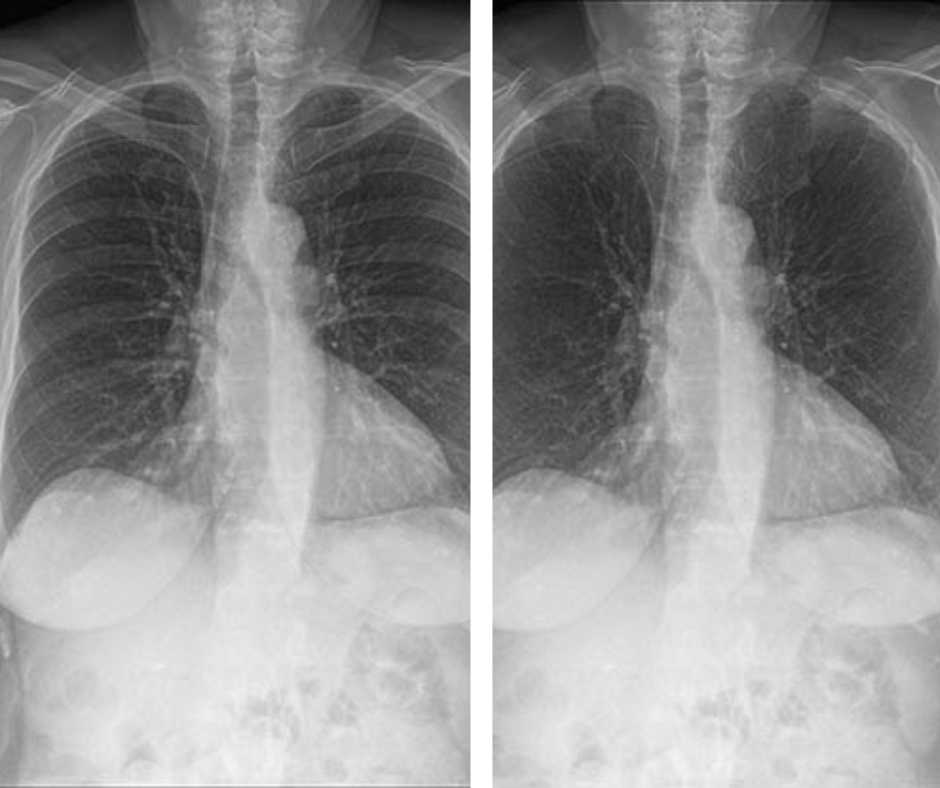
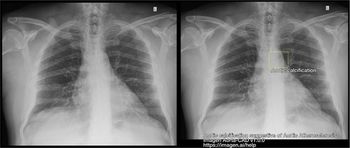
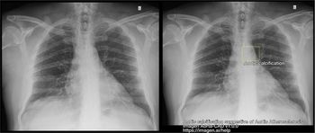
In an external validation data set for a deep learning bone-suppressed (DLBS) model, researchers found that adjunctive use of the DLBS model led to a nearly 15 percent increase in sensitivity for detecting pulmonary nodules on chest X-rays in comparison to radiologist assessment.
















































