
X-Ray
Latest News

Latest Videos

CME Content
More News

While radiologists interpreted approximately 99 percent of all non-cardiac CT, MRI and nuclear medicine studies in hospital and emergency department settings for Medicare beneficiaries, new research shows significantly less radiologist review of cardiac imaging and office-based imaging.

Out of 315 patients identified by artificial intelligence (AI) as being at high risk for osteoporosis, subsequent screening with dual-energy X-ray absorptiometry (DXA) in a randomized controlled trial revealed new-onset osteoporosis in 237 patients.

Offering a combination of intuitive user-friendly controls and enhanced imaging, the Zenition 90 Motorized C-arm reportedly facilitates workflow efficiencies and bolsters visualization for complex vascular procedures, cardiac interventions, and other clinical procedures.

Catch up on the top radiology content of the past week.

In addition to detecting missed lung nodules on X-rays, the AI-powered Qure.ai lung cancer continuum platform reportedly automates lung nodule measurement on CT scans and facilitates multimodality reporting.

The second-generation version of the VUZE System reportedly offers expanded functionality and incorporation of varied sources of 3D imaging data, including cone-beam CT scans obtained in the OR.

In addition to advanced imaging quality and dose efficiency, the Philips Zenition 30 mobile C-arm device emphasizes personalized user profiles and automated customization to help reduce procedure time.

Examining current trends in brain cancer diagnostics, these authors discuss diagnostic imaging advances, pathways with adaptive radiotherapy and the ongoing quest to provide optimal precision with dosimetry.

A new study shows that GPT-4 may offer comparable error detection rates to those of attendings and radiology residents in reviewing radiology reports, but researchers noted key caveats as well.

Leveraging artificial intelligence, the Rho software assessment of X-rays may allow earlier detection of bone loss.

Review the case and test your knowledge to make the correct diagnosis.

Catch up on the top AI-related news and research in radiology over the past month.

Review the case and test your knowledge to make the correct diagnosis.

Noting the challenges of conservative therapy and limitations of total knee arthroplasty, the targeted minimally invasive geniculate artery embolization, performed by interventional radiologists, may be a viable treatment alternative.

Review the case and test your knowledge to make the correct diagnosis.

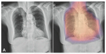
With reported increases in tuberculosis cases after the COVID-19 pandemic, the qSpot-TB adjunctive artificial intelligence (AI) device may facilitate improved diagnosis of the disease on chest X-rays.

Employing reconstructed radiographs from 3D hip CT scans, a deep learning model demonstrated a higher concordance index (C index) and higher two- and three-year AUCs than multiple imaging models and three clinical models for predicting subsequent fracture risk in patients with hip fractures.


Catch up on the top AI-related news and research in radiology over the past month.

In a recently issued statement from multiple radiology societies including the RSNA and ACR, researchers offer practical advice for evaluating artificial intelligence (AI) tools, implementing AI into current workflows and monitoring of the technology to help ensure optimal benefit and effectiveness.

While CT, MRI and X-rays provide more of a workout for one’s radiological skills, more occasional spurts of DEXA scans and Doppler ultrasounds can provide comfortable diversions on worklists.

Catch up on the top radiology content of the past week.

In addition to high-quality X-ray and fluoroscopic images, the DRX-Excel Plus X-ray System provides automated filter selection, grid parking and positioning of table axes.

In part of an ongoing multicenter study evaluating commercial artificial intelligence (AI) products in radiology, AI lung nodule detection software from four out of seven vendors demonstrated stand-alone AUCs ranging from 5 to 12 percent higher than the mean AUC of 17 reviewing radiologists.

A comfortable environment for reading CTs, MRIs and X-rays may be conducive to less interruptions and longer intervals at radiology workstations.






































