
|Slideshows|November 21, 2017
Breathlessness
Author(s)Harpreet Singh, MD
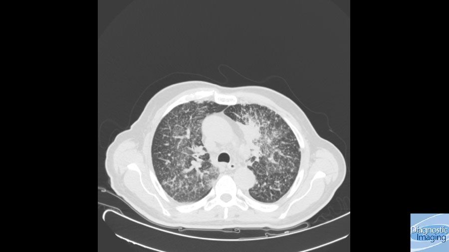
Case History: 45-year-old patient with laryngeal cancer presented with history of breathlessness, hemoptysis, increased creatinine.
Advertisement
Case History: 45-year-old patient with laryngeal cancer presented with history of breathlessness, hemoptysis, increased creatinine.
Newsletter
Stay at the forefront of radiology with the Diagnostic Imaging newsletter, delivering the latest news, clinical insights, and imaging advancements for today’s radiologists.
Advertisement
Latest CME
Advertisement
Advertisement






























