
|Slideshows|August 1, 2017
Buccal Space Mass
Author(s)Harpreet Singh, MD
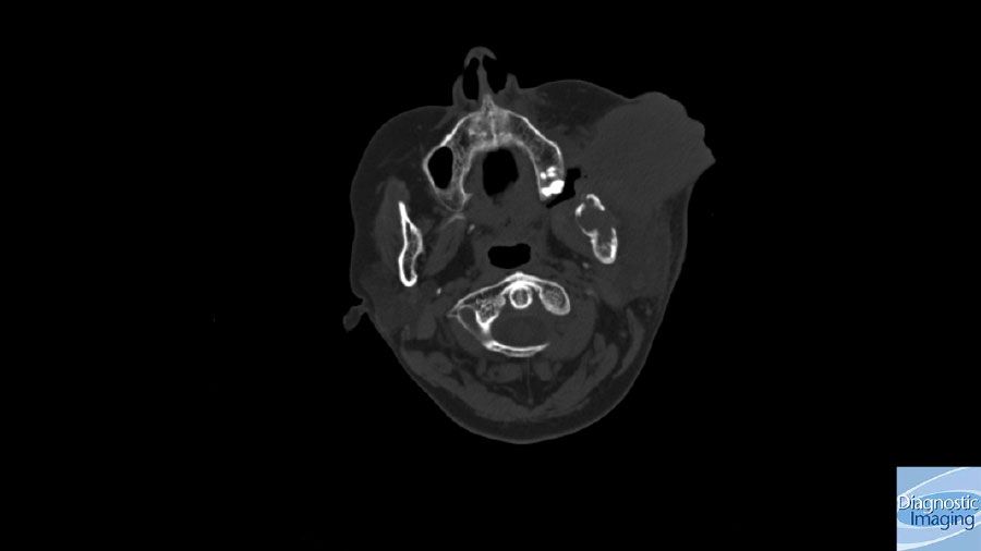
Case History: 49-year-old patient with large buccal mass, history of leakage through mass.
Advertisement
Case History: 49-year-old patient presents with large buccal mass on left side, history of leakage of oral contents through mass.
Newsletter
Stay at the forefront of radiology with the Diagnostic Imaging newsletter, delivering the latest news, clinical insights, and imaging advancements for today’s radiologists.
Advertisement
Latest CME
Advertisement
Advertisement

































