
- Diagnostic Imaging Vol 31 No 12
- Volume 31
- Issue 12
Contrast media reactions rarely happen, study finds
Concerns about the potential adverse reactions of patients to iodinated and gadolinium-based contrast agents used with CT and MRI may be more perceived than real, according to Mayo Clinic researchers.
Concerns about the potential adverse reactions of patients to iodinated and gadolinium-based contrast agents used with CT and MRI may be more perceived than real, according to Mayo Clinic researchers.
Dr. Christopher H. Hunt and colleagues in Rochester, MN, reviewed 456,930 episodes of contrast media administration. From this base, 522 cases of mostly mild adverse effects were identified. Reactions included nausea, vomiting, and skin rashes. Only 16 cases, 10 severe reactions to low-osmolar iodinated agents and six to gadolinium, needed transfer to an emergency department for further observation and treatment. One patient died, but possibly due to unrelated causes. Pretreatment with corticosteroids helped bring down the incidence of adverse effects (AJR 2009;193[4]:1124-1127). Adverse contrast reactions can occur, but they are rarely severe and most require only observation and supportive care, Hunt said.
Articles in this issue
about 16 years ago
Critical results still go unnoticed on patient EMRabout 16 years ago
University of Virginia opens center for ablation researchabout 16 years ago
Coronary CTA exposes plaque risk for diabeticsabout 16 years ago
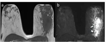
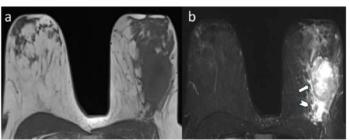
Women who skip mammo face higher risk of deathabout 16 years ago
Rads urge cautious CT use for swine flu workupabout 16 years ago
Berger urges imagers to be stewards of radiologyabout 16 years ago
Disaster survivors show early signs of traumatic stressabout 16 years ago
fMRI lights up gap between consciousness and cognitionabout 16 years ago
A reply from Dr. Leonard Berlinabout 16 years ago
Defending mammography in the face of continued attacksNewsletter
Stay at the forefront of radiology with the Diagnostic Imaging newsletter, delivering the latest news, clinical insights, and imaging advancements for today’s radiologists.












