Patients who had CT angiography procedures reported lower pain levels, better preparation and were 25 percent more willing to undergo the procedure again in comparison to patients who had invasive coronary angiography, according to newly published research.
Emerging research shows significant patient preference for coronary computed tomography angiography (CCTA) over invasive coronary angiography (ICA).
For the randomized study, recently published in European Radiology, researchers examined findings from 24-hour post-op and long-term follow-up patient questionnaires (median of 3.7 years) for 329 patients who underwent CCTA (167 patients) or ICA (162 patients) for suspected coronary artery disease (CAD).
Thirty-seven percent of the CCTA cohort (62 patients) reported no pain versus 20 percent of the ICA group (33 patients), according to the study. When asked about preparation and information given prior to the procedure, 79 percent of the CCTA group (119 patients) rated it “very good” in comparison to 49 percent of the ICA cohort (69 patients). The researchers noted 73 percent of patients in the CCTA cohort had “very good” satisfaction with the procedure in contrast to 39 percent in the ICA group.
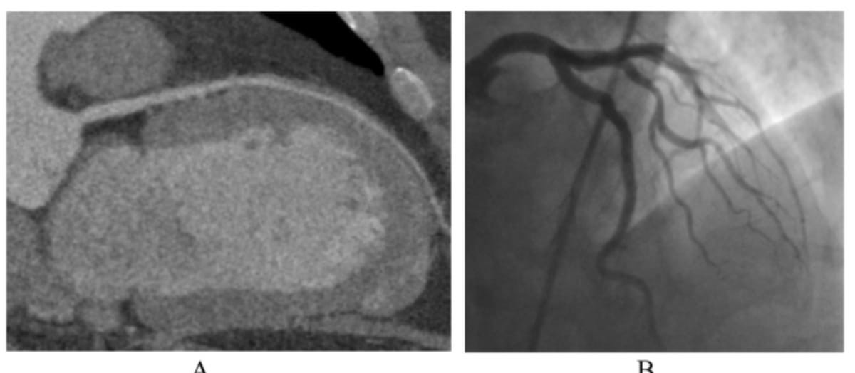
Here one can see examples of coronary CT angiography (CCTA) (left) and invasive coronary angiography (ICA) (right) with both revealing no pathological findings. (Images courtesy of European Radiology.)

The study authors also found that 94 percent of patients in the CCTA group would be willing to undergo the procedure again in comparison to 69 percent of patients who had ICA.
“The principal findings of this randomized trial are as follows: (1) subjective pain was significantly lower in patients who underwent coronary CT angiography compared to those who underwent invasive coronary angiography; patients felt better prepared and less concerned about the CT examination; and there was significantly greater satisfaction with the communication of findings in the CT-first group, which also persisted at follow-up after 3.7 years,” wrote lead study author Maria Bosserdt, Ph.D., who is affiliated with the Department of Radiology at Charite University of Medicine Berlin in Germany, and colleagues.
While acknowledging CT as a non-invasive test that doesn’t usually cause pain, the researchers said the study’s findings on patient preference and satisfaction are key considerations with the ongoing emphasis on valued-based care.
“Patient satisfaction with imaging as well as communication of findings, which persisted over long-term follow-up in our analysis, will also contribute to patient-centered care in radiology,” noted Bosserdt and colleagues. “ … Patient satisfaction constitutes a core component of the shift from volume- to value-based radiology, which also includes better patient satisfaction, outcomes, and overall system savings.”
(Editor’s note: For related content, see “Does Initial CCTA Provide the Best Assessment of Stable Chest Pain?,” “Should Dual-Source CT be the New Standard for ER CCTA Assessment of Acute Chest Pain?” and “Could Photon Counting Reduce Iodinated Contrast Media for CT Angiography?”)
In regard to study limitations, the authors noted it was a single-center study and acknowledged a lack of formal validation for the patient questionnaire. They also conceded that 7 percent of the cohort did not have follow-up data and suggested that clinicians involved with the study may have had greater engagement with those in the CT cohort.
CT Study: AI Algorithm Comparable to Radiologists in Differentiating Small Renal Masses
May 14th 2024An emerging deep learning algorithm had a lower AUC and sensitivity than urological radiologists for differentiating between small renal masses on computed tomography (CT) scans but had a 21 percent higher sensitivity rate than non-urological radiologists, according to new research.
The Reading Room: Racial and Ethnic Minorities, Cancer Screenings, and COVID-19
November 3rd 2020In this podcast episode, Dr. Shalom Kalnicki, from Montefiore and Albert Einstein College of Medicine, discusses the disparities minority patients face with cancer screenings and what can be done to increase access during the pandemic.
Study Finds High Concordance Between AI and Radiologists for Cervical Spine Fractures on CT
May 6th 2024Researchers found a 98.3 percent concordance between attending radiology reports and AI assessments for possible cervical spine fractures on CT, according to new research presented at the 2024 ARRS Annual Meeting.