
Case History: 54-year-old female with facial and neck swelling.

Case History: 54-year-old female with facial and neck swelling.

A 32-year-old female with a palpable abnormality in her right superior-lateral breast. Mammography and ultrasound demonstrated a spiculated mass.

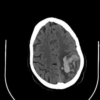
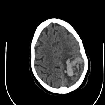
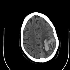
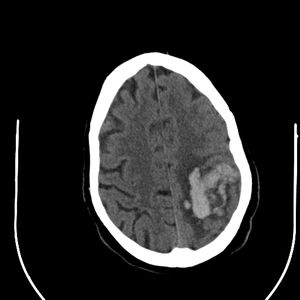
A 37-year-old female presented to the emergency room after awakening at 4 a.m. with right sided weakness. Neurological exam confirmed loss of strength on the right side, loss of sensation in the right upper extremity, and a positive right sided Babinski sign.

Published: June 13th 2012 | Updated:

Published: November 20th 2012 | Updated:

Published: June 30th 2015 | Updated: