
Can you diagnose this patient with low back pain, right lower extremity paraesthesias, and incontinence?

Can you diagnose this patient with low back pain, right lower extremity paraesthesias, and incontinence?

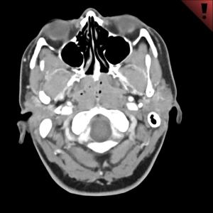
Can you properly diagnose this 30-year-old female?


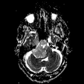
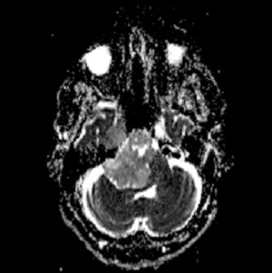
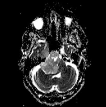
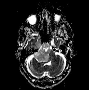
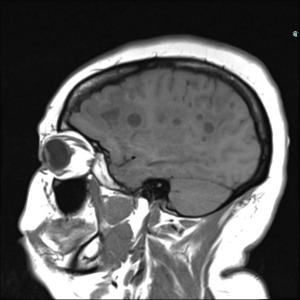
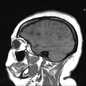
41-year-old female presents with chronic headache.

Published: July 2nd 2015 | Updated:

Published: January 23rd 2018 | Updated:

Published: June 25th 2018 | Updated:

Published: June 17th 2019 | Updated: