
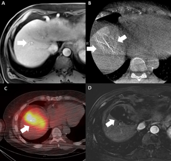
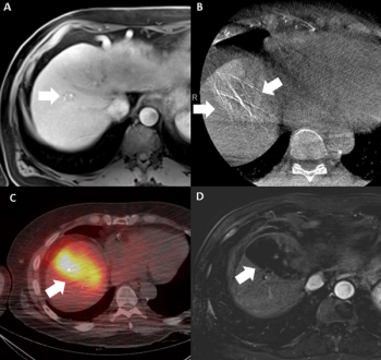
Reviewing recent changes to the Barcelona Clinic Liver Cancer (BCLC) staging system for hepatocellular carcinoma and the potential impact for interventional radiologists, these authors discuss key updates including the subdivision of patients with intermediate stage disease and emerging literature on systemic agents for advanced disease.

